科室动态
心内科联合创伤骨科成功救治多位髋部骨折合并冠心病的高龄患者
日前,北京积水潭医院心内科主任刘巍团队联合创伤骨科副主任李庭团队,以及相关的麻醉、重症、急诊等学科,开展多学科合作,将加速康复外科(ERAS)的理念进一步应用于老年骨折。在新龙泽院区成功救治多位髋部骨折合并冠心病的高龄患者,实现了“冠心病”及“骨折”双“加速康复”,得到患者及患者家属的高度评价,充分印证了北京积水潭医院高素质医护团队及高效率多学科协作,发挥出1+1>2的效果。
老年人髋部骨折也称人生的“最后一次骨折”。尤其是髋部骨折合并冠心病的高龄患者,骨科手术风险率极高,这对于骨科医师来说是个棘手的难题。一方面,如果不解决心脏问题,手术风险极大。另一方面,如果植入支架解决冠状动脉狭窄,虽然心脏的隐患解除了,但患者必须长期服用双联的抗血小板用药,手术又面临着出血的风险。面对“两难”,北京积水潭医院为这类患者带来了新希望。
心内科主任刘巍团队与创伤骨科副主任李庭团队多次碰头,在总结以往经验、参考国外最新的“非心脏手术围手术期心脏评估及管理指南”的基础上,制定了骨创伤合并冠心病患者一系列的评估、诊断、治疗流程。同时建立工作群, 确保高龄患者快速,有效,安全地接受骨科及心脏的双治疗。
心内科编译的国际指南
心内创骨强强联合 术前科学细致评估
86岁的王阿姨(化名)数天前在家中摔倒导致髋部骨折,在当地住院时发生急性心肌梗死,考虑病情危重复杂,未能进行骨科手术治疗。由于患者病情较重,我院心内科迅速将患者收入CCU,刘巍团队成功为患者开通病变冠状动脉并植入支架1枚。既已完成冠脉血运重建,髋部骨折手术成为当务之急。急性心肌梗死是外科择期手术的禁忌。患者正在接受双联抗血小板治疗,此时手术将面临极大的缺血和出血风险。摆在心内科和创伤骨科团队面前的问题是如何为这样一名高龄患者安全地进行股骨颈骨折手术。
(左)造影可见前降支血管近端95%狭窄;(中)于前降支病变处植入支架1枚;(右)支架植入后再次造影显示近端血管恢复通畅。
经过心内科、创伤骨科以及麻醉团队会诊研究,在评估围术期缺血和出血风险后,决定围术期继续应用阿司匹林加低分子肝素治疗方案。患者在入院8天后手术,麻醉科成功实施了腰椎管内麻醉,创伤骨科进行了右侧股骨粗隆骨折闭合复位髓内针固定手术,手术过程顺利,出血量只有50ml,术后转入CCU继续监测、调理。术后患者麻醉恢复后即可在床上随意活动,也可以逐渐下地站立或行走。围术期内无心肌缺血症状发作,监测心电图无动态改变,心肌酶回落趋于正常。李庭团队成员每日对患者进行会诊,与患者交流病情,指导术后注意事项,力争让骨折部位加快康复。患者病情一天天好转,很快便开始下床活动,术后第5天顺利出院。
心血管护航精细精准 围术期管理科学有效
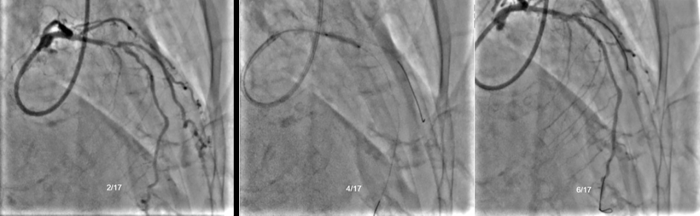
患者张先生(化名),73岁,因右侧股骨骨折收入创伤骨科,由于患者年龄较大且合并高血压、高脂血症等多种心血管危险因素,遂转入心内科评估冠脉血管,为骨科手术风险评估提供参考。冠脉造影提示前降支中远段全程弥漫病变,最重99%狭窄,回旋支中段完全闭塞,后降支有75%狭窄,术中仅对前降支血管进行了球囊扩张,术后给予双联抗血小板治疗。
(左)造影显示前降支中远段全程弥漫病变,最重99%狭窄,回旋支中段完全闭塞;(右)后降支和左室后支均有较重狭窄。
虽然患者身体各项机能均已衰退,手术风险较高,但通过手术固定骨折部位,能够减轻疼痛,便于日常护理照顾,减少卧床并发症。在患者家属强烈的治疗意愿下,李庭团队决定进行局麻下右侧股骨头置换手术,心内科指导术前控制血压稳定,维持扩冠、稳定斑块。在权衡缺血-出血风险后,心内科制定了围术期停用双抗,术后尽早恢复双抗治疗的方案。经过多个科室的通力配合,手术成功,术中出血约60ml。术后,患者在ICU停留1.5天后,回到CCU病房继续康复观察,围术期内无缺血-出血事件以及其他不良事件发生。术后恢复良好,于近日出院。
积水潭医院在治疗老年髋部骨折领域建立了多学科协作、院内外联合、全周期覆盖的诊疗新体系。创伤骨科副主任李庭表示,此次与心内科及相关的麻醉、重症等多学科合作,能更好地将加速康复外科(ERAS)理念应用于老年骨科,尤其是对于合并严重心脏疾患这个相对的禁区,可有效降低手术风险、缩短术前等待时间、减少并发症,让老年患者更好、更快地康复,从而优质的生活。
心内科刘巍主任表示,心内科充分发挥自身优势,在创伤骨科术前心脏评估方面责无旁贷,“我们将积极推动实施院内多学科协作,在围手术期心血管病管理方面为兄弟科室保驾护航。”
编辑丨靳晓方 于淼
团队成员
-
蒋协远
职称:主任医师
擅长: 肘部骨折,肘僵硬与畸形,四肢骨折
-
公茂琪
职称:主任医师
擅长: 上肢及肘关节骨折、多发骨折
-
朱仕文
职称:主任医师
擅长: 骨盆、髋臼及四肢复杂骨折、骨折不愈合
-
李庭
职称:主任医师
擅长: 肘关节损伤,踝关节骨折,胫骨平台骨折,及其他复杂关节内骨折
-
吴新宝
职称:主任医师
擅长: 四肢骨与关节的损伤,尤其是骨盆和髋臼损伤
-
刘亚波
职称:主任医师
擅长: 髋部、膝部骨折,关节置换,骨折不愈合、畸形愈合
-
孙林
职称:主任医师
擅长: 骨折不愈合和畸形愈合;关节内骨折;股骨颈骨折;股骨粗隆间和粗隆下骨折
-
张力丹
职称:主任医师
擅长: 肘关节、膝关节骨折
-
黄强
职称:主任医师
擅长: 肩关节周围创伤及骨折、多发创伤、陈旧骨折
-
张国柱
职称:主任医师
擅长: 骨盆髋臼骨折,足踝部损伤,肩关节骨折,陈旧骨折及感染
-
王军强
职称:主任医师
擅长: 四肢及关节内骨折、骨盆髋臼骨折等高能量损伤的微创治疗
-
毛玉江
职称:主任医师
擅长: 四肢骨与关节损伤,各种复杂骨折,骨不愈合及畸形愈合,关节功能障碍。胫骨平台骨折、股骨颈骨折及股骨头缺血坏死诊治
-
刘兴华
职称:主任医师
擅长: 手术治疗四肢骨折,关节周围骨折以及并发症,尤其是肘关节术后活动受限
-
曹奇勇
职称:主任医师
擅长: 骨盆、髋臼、髋部骨折,及四肢骨折与不愈合
-
杨明辉
职称:主任医师
擅长: 骨盆及四肢创伤,尤其是骨盆髋臼骨折、老年髋部骨折、足踝部创伤、陈旧性损伤、骨感染骨髓炎等疾病的诊断与治疗。
-
韩巍
职称:主任医师
擅长: 1.熟练掌握创伤骨科各病种的规范化诊断及治疗、包括四肢及骨盆髋臼骨折的微创治疗技术以及复杂骨折的开放手术治疗。2.骨科智能装…
-
赵春鹏
职称:主任医师
擅长: 髋臼骨盆骨折的常规治疗和微创手术治疗、四肢关节骨折,畸形的治疗
-
查晔军
职称:主任医师
擅长: 四肢骨与关节损伤,特别是上肢与肘关节创伤和疾患的诊治
-
李宇能
职称:主任医师
擅长: 年龄大于14岁的四肢复杂骨折治疗,骨折的微创治疗,尤其是骨盆及髋臼骨折的治疗,创伤后肢体重建与陈旧骨折的治疗。
-
安贵生
职称:副主任医师
擅长: 桡骨远端骨折
-
张权
职称:副主任医师
擅长: 四肢骨折、多发骨折
-
王金辉
职称:主任医师
擅长: 骨盆髋臼与四肢骨折及其相关合并症,尤其足踝部骨折与老年髋部骨折的治疗
-
赵刚
职称:副主任医师
擅长: 四肢和关节内骨折、全髋关节置换和翻修、骨髓炎、肢体延长、外固定
-
刘国会
职称:副主任医师
擅长: 下肢骨折,尤其膝关节周围骨折
-
刘洪波
职称:副主任医师
擅长: 四肢与关节内骨折、骨盆髋臼骨折、髋部骨折、足踝骨折、关节骨折等疾病
-
苏永刚
职称:副主任医师
擅长: 骨盆、髋臼及四肢复杂骨折的相关治疗
-
杨胜松
职称:副主任医师
擅长: 下肢畸形(包括O形腿,X形腿或者顺风腿),长短腿,马蹄内翻足畸形,骨髓炎,髋膝踝关节创伤性关节炎,外固定架微创手术,人工全…
-
滕星
职称:副主任医师
擅长: 四肢骨和关节复杂创伤及并发症的治疗,包括骨不连,骨折不愈合,骨折畸形愈合及发育性畸形,创伤后及发育性的四肢关节僵硬、挛缩…
-
李卫华
职称:副主任医师
擅长: 多发创伤、陈旧骨折、关节周围骨折和膝关节、足踝复杂骨折脱位
-
汤文杰
职称:副主任医师
擅长: 腕关节骨折,四肢及骨盆骨折,复杂关节内骨折,骨不愈合及畸形愈合
-
李宁
职称:副主任医师
擅长: 髋部骨折、老年骨折、骨质疏松及代谢性骨病相关骨折,以及其他骨盆与四肢骨折等
-
张健
职称:副主任医师
擅长: 骨盆髋臼骨折、四肢骨折与关节损伤
-
张玉富
职称:副主任医师
擅长: 肩肘关节骨折,四肢骨与关节损伤,骨不愈合及畸形愈合
-
李绍良
职称:副主任医师
擅长: 四肢骨与关节骨折脱位,骨盆髋臼骨折。擅长肩关节骨折,肘关节骨折脱位,腕关节骨折,桡骨远端骨折,髋部骨折,足踝部骨折脱位,…
-
周力
职称:副主任医师
擅长: 四肢骨与关节损伤,复杂关节内骨折,骨盆髋臼骨折,骨折不愈合及畸形愈合,关节功能障碍。尤其擅长髋部骨折及其并发症的治疗
-
孙旭
职称:副主任医师
擅长: 擅长骨盆、髋臼骨折、四肢长骨及关节内骨折的诊疗及微创治疗,骨折及内固定相关感染、骨折不愈合的治疗,骨折及冰雪户外运动损伤…
-
吴宏华
职称:副主任医师
擅长: 四肢关节骨折的外科治疗,尤其是对骨盆髋臼骨折的外科治疗有丰富的临床经验
-
米萌
职称:副主任医师
擅长: 复杂肩关节骨折、老年髋部骨折及其它复杂骨与关节骨折治疗
-
王陶
职称:副主任医师
擅长: 复杂关节骨折 骨运输 肢体功能重建
-
陈辰
职称:副主任医师
擅长: 四肢与骨盆髋臼骨折,骨折后不愈合等并发症。除常见四肢骨折外,擅长上肢、肩、肘、腕关节急性及陈旧性骨折脱位。肩关节置换、全…
-
创伤骨科复查号
职称:
擅长: 骨折复查
-
创伤骨科普通号
职称:主治医师
擅长: 四肢骨折
-
创伤骨科普通号
职称:-
擅长: 与外伤有关的骨与软组织疾患



