科室动态
北京积水潭医院蒋协远团队完成首例肘关节表面置换定制假体植入
2022年4月14日,蒋协远团队成功完成首例肘关节表面置换定制假体植入,填补该领域空白,使年轻患者摆脱了肘关节活动受限的困扰,生活质量大大提高。
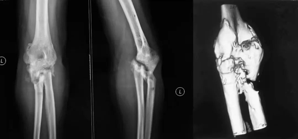
患者是福建省的一名27岁的年轻男性,2年半前工作时不慎摔倒在路边水沟里,造成了严重的开放肘关节骨折脱位。在当地先后进行了五次手术后,肘关节肱尺关节完全骨性融合,软骨缺失,桡骨头已切除,上尺桡融合,尺骨近端不愈合,形成假关节微动,前臂旋转功能完全受限(图1)。伤痕累累的胳膊,疼痛、无力、活动受限,使患者的工作和生活受到了极大的影响,十分痛苦。

图1:男,27岁,术前X片及三维CT:肱尺关节骨性融合,上尺桡融合,桡骨头切除术后,尺骨近端不愈合假关节形成。
为此,患者几经周折,一路北上,辗转多家医院,终于抱着一丝希望找到了北京积水潭医院蒋协远教授团队。
对于这种类型的损伤,人工全肘关节置换是较好的一种治疗方法,但术后上肢力量受限,且对原有骨量破坏较大,后期翻修困难,患者年仅27岁,功能需求较高,无法接受全肘关节置换。而肱骨远端和尺骨鹰嘴双侧关节软骨的缺失,也不适合行间隔式关节成形术。蒋协远教授和公茂琪、查晔军等团队成员与患者进行了病情的分析和沟通,决定选择既往国内外研究中鲜有报道的肘关节表面置换,尽可能保留肱骨远端骨量,同时保留内外侧韧带结构,保持患者上肢肌力。而对于不愈合的尺骨近端,采用附加钢板和取髂骨植骨处理。
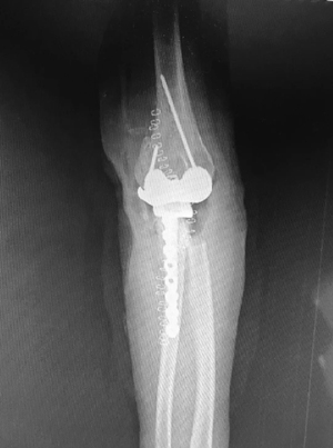
团队联合爱康医疗,以该患者的肘关节CT为基础,历经2个半月的设计和不断改良,考虑了关节稳定性、假体固定和骨长入等相关问题,定制了一套符合临床需求的肘关节表面置换假体(图2),患者也十分配合的耐心等待。4月14日上午八点四十,在麻醉科和手术室的全力配合下,这台手术终于顺利开台。蒋协远教授带领团队经过两个多小时的努力,手术顺利完成,术中患者的屈伸和旋转活动度均恢复至正常水平,并且关节稳定(图3)。目前患者正逐步康复中。

图2 假体和截骨模块的设计和改良。

图3 患者术后肘关节正侧位片。
北京积水潭医院蒋协远教授带领的创伤骨科肘关节团队是国内外处理复杂肘关节骨折脱位和并发症手术量最大的团队之一,具有丰富的临床诊疗经验。目前国内及国际上,肘关节假体通常为半限制性的铰链式假体或非限制性的非铰链式假体,但基本上都需切除大量骨质,以骨水泥进行髓内固定,表面置换鲜有涉及,本次首例表面置换型肘关节定制假体也填补了这一空白。
编辑丨靳晓方 于淼
团队成员
-
蒋协远
职称:主任医师
擅长: 肘部骨折,肘僵硬与畸形,四肢骨折
-
公茂琪
职称:主任医师
擅长: 上肢及肘关节骨折、多发骨折
-
朱仕文
职称:主任医师
擅长: 骨盆、髋臼及四肢复杂骨折、骨折不愈合
-
李庭
职称:主任医师
擅长: 肘关节损伤,踝关节骨折,胫骨平台骨折,及其他复杂关节内骨折
-
吴新宝
职称:主任医师
擅长: 四肢骨与关节的损伤,尤其是骨盆和髋臼损伤
-
刘亚波
职称:主任医师
擅长: 髋部、膝部骨折,关节置换,骨折不愈合、畸形愈合
-
孙林
职称:主任医师
擅长: 骨折不愈合和畸形愈合;关节内骨折;股骨颈骨折;股骨粗隆间和粗隆下骨折
-
张力丹
职称:主任医师
擅长: 肘关节、膝关节骨折
-
黄强
职称:主任医师
擅长: 肩关节周围创伤及骨折、多发创伤、陈旧骨折
-
张国柱
职称:主任医师
擅长: 骨盆髋臼骨折,足踝部损伤,肩关节骨折,陈旧骨折及感染
-
王军强
职称:主任医师
擅长: 四肢及关节内骨折、骨盆髋臼骨折等高能量损伤的微创治疗
-
毛玉江
职称:主任医师
擅长: 四肢骨与关节损伤,各种复杂骨折,骨不愈合及畸形愈合,关节功能障碍。胫骨平台骨折、股骨颈骨折及股骨头缺血坏死诊治
-
刘兴华
职称:主任医师
擅长: 手术治疗四肢骨折,关节周围骨折以及并发症,尤其是肘关节术后活动受限
-
曹奇勇
职称:主任医师
擅长: 骨盆、髋臼、髋部骨折,及四肢骨折与不愈合
-
杨明辉
职称:主任医师
擅长: 骨盆及四肢创伤,尤其是骨盆髋臼骨折、老年髋部骨折、足踝部创伤、陈旧性损伤、骨感染骨髓炎等疾病的诊断与治疗。
-
韩巍
职称:主任医师
擅长: 1.熟练掌握创伤骨科各病种的规范化诊断及治疗、包括四肢及骨盆髋臼骨折的微创治疗技术以及复杂骨折的开放手术治疗。2.骨科智能装…
-
赵春鹏
职称:主任医师
擅长: 髋臼骨盆骨折的常规治疗和微创手术治疗、四肢关节骨折,畸形的治疗
-
查晔军
职称:主任医师
擅长: 四肢骨与关节损伤,特别是上肢与肘关节创伤和疾患的诊治
-
李宇能
职称:主任医师
擅长: 年龄大于14岁的四肢复杂骨折治疗,骨折的微创治疗,尤其是骨盆及髋臼骨折的治疗,创伤后肢体重建与陈旧骨折的治疗。
-
安贵生
职称:副主任医师
擅长: 桡骨远端骨折
-
张权
职称:副主任医师
擅长: 四肢骨折、多发骨折
-
王金辉
职称:主任医师
擅长: 骨盆髋臼与四肢骨折及其相关合并症,尤其足踝部骨折与老年髋部骨折的治疗
-
赵刚
职称:副主任医师
擅长: 四肢和关节内骨折、全髋关节置换和翻修、骨髓炎、肢体延长、外固定
-
刘国会
职称:副主任医师
擅长: 下肢骨折,尤其膝关节周围骨折
-
刘洪波
职称:副主任医师
擅长: 四肢与关节内骨折、骨盆髋臼骨折、髋部骨折、足踝骨折、关节骨折等疾病
-
苏永刚
职称:副主任医师
擅长: 骨盆、髋臼及四肢复杂骨折的相关治疗
-
杨胜松
职称:副主任医师
擅长: 下肢畸形(包括O形腿,X形腿或者顺风腿),长短腿,马蹄内翻足畸形,骨髓炎,髋膝踝关节创伤性关节炎,外固定架微创手术,人工全…
-
滕星
职称:副主任医师
擅长: 四肢骨和关节复杂创伤及并发症的治疗,包括骨不连,骨折不愈合,骨折畸形愈合及发育性畸形,创伤后及发育性的四肢关节僵硬、挛缩…
-
李卫华
职称:副主任医师
擅长: 多发创伤、陈旧骨折、关节周围骨折和膝关节、足踝复杂骨折脱位
-
汤文杰
职称:副主任医师
擅长: 腕关节骨折,四肢及骨盆骨折,复杂关节内骨折,骨不愈合及畸形愈合
-
李宁
职称:副主任医师
擅长: 髋部骨折、老年骨折、骨质疏松及代谢性骨病相关骨折,以及其他骨盆与四肢骨折等
-
张健
职称:副主任医师
擅长: 骨盆髋臼骨折、四肢骨折与关节损伤
-
张玉富
职称:副主任医师
擅长: 肩肘关节骨折,四肢骨与关节损伤,骨不愈合及畸形愈合
-
李绍良
职称:副主任医师
擅长: 四肢骨与关节骨折脱位,骨盆髋臼骨折。擅长肩关节骨折,肘关节骨折脱位,腕关节骨折,桡骨远端骨折,髋部骨折,足踝部骨折脱位,…
-
周力
职称:副主任医师
擅长: 四肢骨与关节损伤,复杂关节内骨折,骨盆髋臼骨折,骨折不愈合及畸形愈合,关节功能障碍。尤其擅长髋部骨折及其并发症的治疗
-
孙旭
职称:副主任医师
擅长: 擅长骨盆、髋臼骨折、四肢长骨及关节内骨折的诊疗及微创治疗,骨折及内固定相关感染、骨折不愈合的治疗,骨折及冰雪户外运动损伤…
-
吴宏华
职称:副主任医师
擅长: 四肢关节骨折的外科治疗,尤其是对骨盆髋臼骨折的外科治疗有丰富的临床经验
-
米萌
职称:副主任医师
擅长: 复杂肩关节骨折、老年髋部骨折及其它复杂骨与关节骨折治疗
-
王陶
职称:副主任医师
擅长: 复杂关节骨折 骨运输 肢体功能重建
-
陈辰
职称:副主任医师
擅长: 四肢与骨盆髋臼骨折,骨折后不愈合等并发症。除常见四肢骨折外,擅长上肢、肩、肘、腕关节急性及陈旧性骨折脱位。肩关节置换、全…
-
创伤骨科复查号
职称:
擅长: 骨折复查
-
创伤骨科普通号
职称:主治医师
擅长: 四肢骨折
-
创伤骨科普通号
职称:-
擅长: 与外伤有关的骨与软组织疾患



