科室动态
24天生死抢救!心内科联合多学科团队应用ECMO+TAVR技术挽救重度主动脉瓣狭窄患者生命
2022年7月21日,在北京积水潭心内科主任刘巍和全体医务人员的努力下,24天前入院时生命垂危的宋奶奶健康地出院了!宋奶奶80多岁的老伴带领全家人向医护人员深鞠了三躬:“我们无法用任何语言来表达对你们的感谢,是你们挽救了我老伴的生命!”
76岁宋奶奶得的是什么病?历经24天的老人,是如何与医务人员一起战胜了死亡呢?
宋奶奶患有“重度主动脉瓣狭窄”,通俗点形容就是从心脏通往大动脉的心门已经完全打不开了。由于疾病伴随老人20多年,来住院时已经到了晚期,老人气喘,完全不能平卧,全身浮肿,除了心门打不开外,心脏功能也很弱,射血分数不到30%,只有正常人的一半,而且还出现了肾功能不全,生命危在旦夕!
入院后,宋奶奶的情况更是急转直下,反映心衰的指标,NTPROBNP已经高到了测不出的水平,血压只能靠大量的升压药物才能勉强维持。怎么办?如果不把心门打开,宋奶奶存活的机会为零。因为病情太重,应用外科手术来置换瓣膜的可能性几乎没有。唯一的治疗方法就是应用微创介入手术的方法,也就是近些年兴起的一项新技术,经皮主动脉瓣置换手术TAVR。
积水潭医院心内科主任刘巍早年在美国学习过此项技术,也是国内早期就开展TAVR手术的专家之一。虽然刘巍主任在短短一年中带领积水潭心内科团队多次成功应用该技术救治了10多名重度主动脉瓣狭窄的患者,但对于这样一个极度高危的患者,无疑对团队和患者本人都是巨大的挑战。但是当刘巍主任团队向宋奶奶家属介绍此项手术时,家属和老人都坚决接受手术,因为他们非常清楚,如果没有治疗,面前只有“死路一条”。
然而,挑战这样艰难的手术,责任和风险都是巨大的。在医务部的组织下,心内科、麻醉科、血管外科、ICU、肾内科等进行了充分的术前多学科讨论:大家一致认为患者高龄,病情危重,心脏瓣膜病合并心力衰竭明确,存在明确经皮主动脉瓣置换术指征。由于目前药物治疗效果差,患者情况恶化,手术时机的选择非常重要。因手术风险太大,为进一步稳定患者术中心肺功能状态,拟于ECMO支持下行手术治疗。和家属充分交谈病情后,团队决定于周五行ECMO辅助的TAVR手术。
此时,患者的情况继续恶化,已经出现严重的尿少和低氧,很难坚持到周五,团队立即在深夜紧急召开会议制定手术方案及策略,将手术时间提前,术前应用床旁血滤治疗,保障患者具备了手术时间窗。虽然团队进行了周密的计划,甚至细到每一个步骤,和每一个可能发生的意外情况的紧急处置,然而真正手术时,团队还是面临着不可预知的挑战。
第一关:术前CTA
手术大方针制定后大动脉CTA是TAVR术前的必需检查,对于制定手术策略亦具有决定性意义。由于患者很难耐受CT检查,所以团队决定手术当天进行CTA检查,然后立刻全麻手术。
团队7点钟早早来到病房,刘巍主任、孙华毅主任医师、韩蕊主治医师、CCU护士等亲自陪同,患者被送至到CT室进行检查。然而患者在行CTA检查时再次心衰发作,在麻醉医师和CT白荣杰主任团队配合下,迅速处理心衰,最终确保CTA检查得以快速并顺利地完成,为术中方案的制定提供了重要的保障。
CT检查后迅速将患者转运至导管室,进行术前准备。麻醉医师刘莹进行术前麻醉及气管插管,ICU王郝副主任、白颖副主任及崔真主治医师快速准备ECMO设备,导管室张莹护士长、曹志国技师、胡东跃护士、苗彩芬护士等协助指导各项工作有序进行。
第二关:ECMO植入
团队对CT的检查快速进行分析,制定了TAVR手术策略。对于这样的一个高危的患者,几乎全身所有的血管入路都占了。右侧肱动脉进行动脉压监测,左侧肱动脉行双侧股动脉造影,以进一步评估ECMO及TAVR入路,预定左侧股动脉植入5mm粗的ECMO置管,右侧股动脉为TAVR主路。左侧颈静脉已经放置透析置管,右侧锁骨下静脉入路为静脉输液入路。所以剩下的入路已经只剩下双股静脉作为ECMO入路及起搏器入路。
然而手术过程仍是一波三折,血管外科贾伟副主任、程致远副主任医师在准备植入ECMO鞘管,穿刺血管造影时意外发现,患者由于存在下肢静脉滤器,双下肢静脉均阻塞,两侧股静脉的入路不能用了。怎么办?团队凭借以往丰富的经验,临时改为经右侧颈静脉及左侧股动脉入路植入VA-ECMO,起搏器改为经左侧锁骨下静脉送入。
入路顺利开通后,ECMO连接,正常运转,这样在ECMO的辅助下,TAVR手术开始正式展开。

ICU医生团队在准备ECMO
第三关:术中冠脉保护
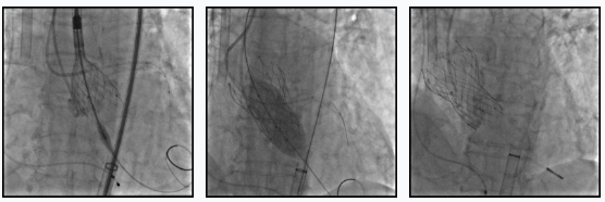
手术过程同样险象环生。使用23 mm球囊对主动脉瓣扩张时发现,冠脉开口受压可能性较大,刘巍主任立即决定使用guidezilla及球囊进行冠状动脉保护。在助手韩昊副主任医师,兰永昊主治医师等通力配合下,瓣膜被精准定位。孙华毅主任医师则承担了起搏器保驾工作。赵兴山副院长,王继红副主任也全程督战和参与抢救。正是在各位专家的悉心指导及整个团队的精准配合下,并经马旃副主任医师术中超声的反复评估确认,瓣膜被顺利释放。术后造影提示瓣膜固定良好,膨胀效果良好释放至工作位置,经造影确认瓣膜工作状态良好,瓣膜狭窄得到明显缓解。
患者术后即拔出ECMO
瓣膜释放后有少量瓣周漏,进行后扩张后,支架位置良好,工作良好
第四关:术后护理
患者术后当天即拔出气管插管,清醒后说的第一句话就是:“我感觉好多了,谢谢主任和各位大夫。”但是由于心功能太弱,患者拔管后身体非常微弱,一度处于缺氧状态,刘巍主任一宿没有回家,同二线值班医生王会娟一起看护病人,直至病情稳定。术后刘巍主任亲自给患者检查心脏彩超,心脏恢复良好,患者主动脉瓣正向血流峰值流速及跨瓣压差均明显降低。

在主管团队彭璐组长,孙华毅主任医师及韩蕊任岚大夫及雷护士长护理团队和全科医护人员的精心照顾下,术后患者活动耐力及心衰症状较术前均有明显提升。在心内科全体医师精心医治及CCU护理团队的悉心护理下,患者在治疗24天后,各项指标均达到出院指征,得以顺利出院。患者及家属在出院时,多次表达对心内科医护团队的衷心感谢,并表示治疗效果远超预期,是积水潭医院心内科专家们为患者带来了新生。
在心内科、麻醉科、ICU、血管外科、放射科、肾内科等多学科团队的共同努力下,几经波折,患者转危为安,这不仅是我院综合实力的体现,也是我院多学科集体力量的成果。作为京北地区唯一能独立完成经皮主动脉瓣介入手术的医院,刘巍教授带领团队在结构性心脏病介入治疗,复杂冠脉介入手术以及电生理手术,经胸及经食道超声心动等各个方面不断创新不断探索不断使用最新技术,帮助患者排忧解难。此次ECMO支持的TAVR治疗,预示着团队的技术水平和积水潭医院的多学科合作能力都达到了新高度,团队也将继续努力,为更多京北地区高危的心血管病患者保驾护航。
专家简介
北京积水潭医院
心内科主任
主任医师,医学博士,1996年毕业于白求恩医科大学临床专业,并先后赴新加坡国立大学Tan Tock Seng医院,日本东邦大学大森医院心血管介入中心,美国休斯顿德州医学中心Methodist医院Debacky心血管中心及德州大学医学部交流访问积累了丰富的心血管疾病诊疗经验。
擅长冠心病诊治、心脏介入治疗和主动脉疾病的介入治疗。特别在主动脉疾病的诊断及介入治疗方面具有丰富的临床经验,帮扶国内十余家医院实施介入工作。
担任中国医疗及保健协会对外促进会医疗质量控制会委员兼秘书长,中国老年保健协会心血管分会委员,中国医促会胸痛分会常务委员, 北京生理科学学会血管分会副主任委员。担任中西医结合心血管病杂志副主编,中国医药杂志社英文编辑等社会职务。
文图丨心内科
编辑丨靳晓方 于淼
团队成员
-
刘巍
职称:主任医师
擅长: 冠心病诊治,结构性心脏介入治疗。在国内首先开展准分子激光治疗复杂冠心病
-
王继红
职称:主任医师
擅长: 冠心病及冠脉介入治疗、高血压、心力衰竭及心律失常的药物治疗
-
赵兴山
职称:主任医师
擅长: 冠状动脉介入治疗,危重心血管疾患救治,冠心病、高血压、血脂异常等,以及围手术期心血管疾患的处理
-
孙华毅
职称:主任医师
擅长: 老年冠心病、冠心病介入、高血压、心律失常、起搏器治疗
-
张虹
职称:主任医师
擅长: 冠心病、心律失常、心力衰竭、高血压、高脂血症及心血管疾病的危重症患者的抢救及治疗
-
范军
职称:主任医师
擅长: 冠心病及介入治疗、高血压病、血脂异常、心力衰竭、心律紊乱
-
康健
职称:主任医师
擅长: 冠心病、高血压、心力衰竭、心律紊乱
-
王佐岩
职称:主任医师
擅长: 冠心病介入治疗、高血压、心力衰竭、心律失常等疾病诊疗方面具有丰富经验
-
范丽雯
职称:副主任医师
擅长: 高血压,高脂血症,冠心病,心力衰竭
-
彭璐
职称:副主任医师
擅长: 高血压、冠心病、心力衰竭、高血脂、动脉硬化、心律失常
-
赵菁
职称:副主任医师
擅长: 冠心病的诊治,高血压,高血脂的药物调节,慢性心衰
-
徐新娜
职称:副主任医师
擅长: 心律失常,冠心病,高血压,高脂血症,动脉硬化,心力衰竭
-
马旃
职称:副主任医师
擅长: 高血压病、冠心病、心力衰竭、心律失常等疾病的治疗
-
郑梅
职称:副主任医师
擅长: 心律失常、心房颤动、起搏器植入、心力衰竭、冠心病等疾病的治疗
-
胡文兰
职称:副主任医师
擅长: 冠心病、高血压、非心脏手术围手术期心血管危险因素评估
-
韩昊
职称:副主任医师
擅长: 心律失常射频消融、起搏器植入、冠心病病介入治疗及心血管疾病的危重症患者的抢救及治疗
-
兰永昊
职称:副主任医师
擅长: 复杂冠心病介入治疗,先心病介入治疗,心脏瓣膜病介入治疗,高血压, 急慢性心衰,冠心病,心律失常,心肌病,高血脂等内科常见…
-
王会娟
职称:副主任医师
擅长: 血脂异常与慢病管理包括高血压、冠心病康复与二级预防;心血管重症管理包括急慢性心力衰竭、急性心肌梗死、心源性休克等疾病的药…
-
蔡濛
职称:副主任医师
擅长: 心血管疾病的诊治、心脏介入诊断及治疗
-
普通号
职称:主治医师
擅长: 心血管疾病
-
心律失常门诊
职称:主治医师
擅长: 心律失常
-
围手术期心脏评估专病门诊
职称:-
擅长: 术前心脏评估
-
更年期健康筛查专病门诊
职称:-
擅长: 围绝经期骨健康、心血管危险因素早期筛查及早期干预;激素补充治疗适应症筛查;骨质疏松及骨量减低早期治疗及生活方式指导;血脂…
-
心血管内科新冠康复专病门诊(副主任医师)
职称:副主任医师
擅长: 针对康复期患者出现的心悸、气短、憋气、胸闷、胸疼等症状,提供系统科学的诊疗方案
-
心血管内科新冠康复专病门诊
职称:主治医师
擅长: 针对康复期患者出现的心悸、气短、憋气、胸闷、胸疼等症状,提供系统科学的诊疗方案。



