科室动态
心内科刘巍主任团队使用准分子激光等新技术为多名搭桥术后桥血管闭塞患者解除病痛
今年才50刚过的孙先生10多年前就因为多支冠状动脉的闭塞而行冠脉搭桥手术,而近期却因为再发的心前区疼痛而就诊专科医院。做完冠脉造影后,医生告知家属:“他的静脉桥血管完全堵死了,以前放的支架也都闭塞了,而且病变太长,没办法支架,只能回家吃药。” 病人和家属非常绝望,毕竟孙先生还很年轻,未来的日子还很长,没有生活质量可咋办。
有同样困扰的还有70多岁的袁先生。10年前他曾进行搭桥治疗,近1月再次反复发作心绞痛,严重影响日常生活。医生问完病情后说:“你的桥血管又堵了。”家属既茫然又无奈。
几经辗转,他们来到北京积水潭医院新龙泽院区就诊,心内科刘巍主任对复杂的冠脉病变治疗经验丰富,最终使用准分子激光等新技术为他们进行了成功的治疗。
孙先生有两根桥血管,动脉桥血管是通畅的,如所料,静脉桥血管从开口就完全堵死了,这种情况桥血管是没有办法开通的,刘巍主任采取开通原位的右冠状动脉的策略,但是由于右冠状动脉自开口就有支架内的完全闭塞,闭塞段非常长,远端血管细小,侧枝显影不好,给治疗带来了很大的难度,刘巍主任团队历时3个半小时,终于为病人开通血管。无论是台上的患者,以及在门口焦急等待的患者家属,听到血管开通的消息后都非常激动。回到病房的患者感觉身体和精神上都轻松的许多,对未来的生活也重新恢复了希望。
另一位袁先生的冠状动脉造影显示原位血管左前降支闭塞,左回旋支80%以上狭窄,右冠状动脉远段闭塞,LIMA桥血管通畅,右冠桥血管中段狭窄,回旋支静脉桥血管开口及中段已经出现90%以上狭窄。原位血管病变时间很长,且受到桥血管血流影响,开通可能性非常低,刘巍主任决定对桥血管进行介入治疗。
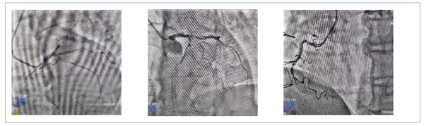
原位血管可见弥漫性狭窄合并慢性闭塞病变

IVUS可以看到桥血管狭窄最严重部位斑块的形态
术中显示,袁先生SVG-LCX中段斑块负荷非常重。刘巍主任首先尝试了远端保护装置送至桥血管远端,但由于血管迂曲,保护装置无法送至远端,所以准分子激光就成了最重要的治疗手段。
经过多次充分激光消蚀后,管腔狭窄明显减轻,IVUS也终于可通过狭窄病变到达远端,观察到管腔内斑块负荷重,形态上相对稳定,随后植入支架,最终效果非常满意,无并发症出现。

那么为什么冠状动脉搭完桥后还会发生桥血管的狭窄呢?
冠心病的主要原因是冠状动脉的闭塞,尽管大多数的血管阻塞可以通过放支架来疏通血管,然而对于冠脉三根血管的弥漫病变或者是主干病变,最好选择搭桥,也就是绕道手术。但是搭桥也不是一劳永逸的。桥血管分为两种,一个动脉桥,另外一种是大隐静脉桥。动脉桥难以获取,一般只能搭一根,另外的则需要用大隐静脉,然而大隐静脉桥10年后就面临着闭塞的风险。
对静脉桥血管进行介入治疗是介入治疗中的非常高危的手术之一。主要原因是静脉桥血管发生退行性病变。一旦球囊扩张极易导致松软斑块的脱落引发无复流等严重的并发症,预后非常差。准分子激光是桥血管病变介入治疗的重要手段之一,应用波长为308 nm的近紫外线光源,以脉冲方式发送,消融深度短,所以较传统激光更为安全,可明显减少严重并发症的发生,为桥血管的介入治疗提供了更优的方法。
刘巍教授早在2015年就已经在国内首次应用准分子激光治疗桥血管病变,2021年就职于北京积水潭医院以来,带领心内科开展了大量的新技术,其中就包括应用准分子激光技术来治疗冠状动脉搭桥术后的静脉桥血管病变,至今已为多名患者缓解症状、改善病情,解决燃眉之急。
文图丨心内科
编辑丨靳晓方 于淼
团队成员
-
刘巍
职称:主任医师
擅长: 冠心病诊治,结构性心脏介入治疗。在国内首先开展准分子激光治疗复杂冠心病
-
王继红
职称:主任医师
擅长: 冠心病及冠脉介入治疗、高血压、心力衰竭及心律失常的药物治疗
-
赵兴山
职称:主任医师
擅长: 冠状动脉介入治疗,危重心血管疾患救治,冠心病、高血压、血脂异常等,以及围手术期心血管疾患的处理
-
孙华毅
职称:主任医师
擅长: 老年冠心病、冠心病介入、高血压、心律失常、起搏器治疗
-
张虹
职称:主任医师
擅长: 冠心病、心律失常、心力衰竭、高血压、高脂血症及心血管疾病的危重症患者的抢救及治疗
-
范军
职称:主任医师
擅长: 冠心病及介入治疗、高血压病、血脂异常、心力衰竭、心律紊乱
-
康健
职称:主任医师
擅长: 冠心病、高血压、心力衰竭、心律紊乱
-
王佐岩
职称:主任医师
擅长: 冠心病介入治疗、高血压、心力衰竭、心律失常等疾病诊疗方面具有丰富经验
-
范丽雯
职称:副主任医师
擅长: 高血压,高脂血症,冠心病,心力衰竭
-
彭璐
职称:副主任医师
擅长: 高血压、冠心病、心力衰竭、高血脂、动脉硬化、心律失常
-
赵菁
职称:副主任医师
擅长: 冠心病的诊治,高血压,高血脂的药物调节,慢性心衰
-
徐新娜
职称:副主任医师
擅长: 心律失常,冠心病,高血压,高脂血症,动脉硬化,心力衰竭
-
马旃
职称:副主任医师
擅长: 高血压病、冠心病、心力衰竭、心律失常等疾病的治疗
-
郑梅
职称:副主任医师
擅长: 心律失常、心房颤动、起搏器植入、心力衰竭、冠心病等疾病的治疗
-
胡文兰
职称:副主任医师
擅长: 冠心病、高血压、非心脏手术围手术期心血管危险因素评估
-
韩昊
职称:副主任医师
擅长: 心律失常射频消融、起搏器植入、冠心病病介入治疗及心血管疾病的危重症患者的抢救及治疗
-
兰永昊
职称:副主任医师
擅长: 复杂冠心病介入治疗,先心病介入治疗,心脏瓣膜病介入治疗,高血压, 急慢性心衰,冠心病,心律失常,心肌病,高血脂等内科常见…
-
王会娟
职称:副主任医师
擅长: 血脂异常与慢病管理包括高血压、冠心病康复与二级预防;心血管重症管理包括急慢性心力衰竭、急性心肌梗死、心源性休克等疾病的药…
-
蔡濛
职称:副主任医师
擅长: 心血管疾病的诊治、心脏介入诊断及治疗
-
普通号
职称:主治医师
擅长: 心血管疾病
-
心律失常门诊
职称:主治医师
擅长: 心律失常
-
围手术期心脏评估专病门诊
职称:-
擅长: 术前心脏评估
-
更年期健康筛查专病门诊
职称:-
擅长: 围绝经期骨健康、心血管危险因素早期筛查及早期干预;激素补充治疗适应症筛查;骨质疏松及骨量减低早期治疗及生活方式指导;血脂…
-
心血管内科新冠康复专病门诊(副主任医师)
职称:副主任医师
擅长: 针对康复期患者出现的心悸、气短、憋气、胸闷、胸疼等症状,提供系统科学的诊疗方案
-
心血管内科新冠康复专病门诊
职称:主治医师
擅长: 针对康复期患者出现的心悸、气短、憋气、胸闷、胸疼等症状,提供系统科学的诊疗方案。



