健康教育
【积医科普】发现皮肤黄、眼黄、小便黄怎么办?
近日来北京积水潭医院普外科接连收治了多个“小便像酱油一样,眼睛黄,皮肤黄”的患者。虽然他们的表现很相似,都是黄疸患者,但是病因确不相同,治疗方法也差别很大。
今天我们就借着这几个病例向大家介绍一下
黄疸患者该怎么诊治
病例一
76岁的赵大爷是一名退休的老中医,住院1周前无意中发现自己的小便非常黄,同时还出现了皮肤瘙痒,家人也发现老赵的皮肤颜色变暗了,白眼球也黄了,住院后检查发现是胆管末端堵住了,接受了根治性的胰十二指肠切除手术,术后病理证实为胆管癌。老赵术后恢复的很顺利,小便、皮肤和巩膜都恢复了正常,身上也不痒了。
黄疸患者发黄的皮肤和因瘙痒导致的抓痕
病例二
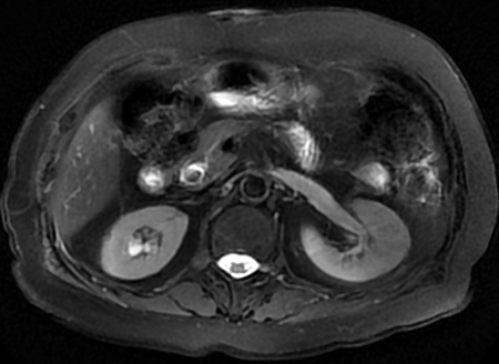
43岁的王先生是一名从事销售工作的职员,最近1个月反复“胃痛”,因为工作忙都是自己吃药对付。近3天发现小便像酱油一样,白眼球也有点发黄了,到医院检查发现胆管里面有一颗1cm大小的石头,胆囊也存在多发结石。我们给他做了腹腔镜下胆囊切除+胆管切开取石手术,术后很快尿色就正常了,肚子也没再疼。
胆管结石患者核磁检查提示胆管末端存在结石
病例三
37岁的赵女士是一名中学教师,1周前开始感觉手部的皮肤发黄,白眼球也是亮亮的黄色,门诊检查发现总胆红素已经300多了,住院以后进行了全面检查,各种病毒学指标、自身抗体等都是阴性,肝胆超声也没有发现明显异常。追问病史获悉,患者在两周前胃不舒服,吃了很多草药,具体成分并不清楚。通过应用保肝药物调理,患者的黄疸指标逐步稳定下降 ,皮肤和眼睛的颜色也逐步恢复了正常。
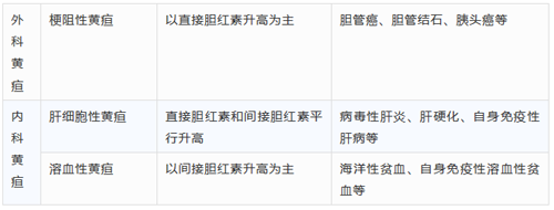
什么是黄疸
皮肤黄染后都可以称为黄疸,但是根据血清胆红素是否升高分为真性黄疸和假性黄疸。
假性黄疸较为少见,主要与进食富含胡萝卜素的食物或含黄色素的药物有关,比如吃了过多的胡萝卜、橙子、南瓜等可导致假性黄疸。假性黄疸不会对身体造成严重伤害,只要找到相关的食物或药物,不再大量摄入即可,不需要特殊治疗。
真性黄疸是需要临床诊治的严重疾病。血清总胆红素超过正常检测上限(大多数医院为25umol/l)即可诊断真性黄疸,当总胆红素数值超过34umol/l时,可引起明显的皮肤、巩膜黄染,能够被人眼直接识别,称为显性黄疸。总胆红素数值越高,皮肤巩膜黄染越明显。
根据发病机制不同,可以将真性黄疸分为梗阻性黄疸、肝细胞性黄疸和溶血性黄疸。病例一和病例二的患者都属于梗阻性黄疸,都需要通过外科手术解除梗阻进行治疗,因而临床上又将梗阻性黄疸称为外科黄疸。而病例三属于肝细胞性黄疸,外科手术没有用武之地,需要通过药物治疗。溶血性黄疸同样也是需要药物治疗。因此,肝细胞性黄疸和溶血性黄疸又被称为内科黄疸。

出现黄疸怎么办
当发现小便颜色加深、皮肤和眼睛发黄时,建议尽快到普外科或消化内科就诊,向医生详细说明病史,检查尿常规、肝功能进行初筛。确认血清胆红素升高者,需要做腹部超声检查有无胆管扩张,存在胆管扩张者,考虑为外科黄疸(梗阻性黄疸),需要到普外科或肝胆外科诊治;没有胆管扩张者,考虑为内科黄疸,需要到消化内科或血液科诊治。
图丨网络
编辑丨靳晓方 于淼
校对丨于淼
上一篇: 【积医科普】发现胆囊腺肌症怎么办?
下一篇: 【积医科普】体检发现胆囊息肉怎么办?
团队成员
-
高鹏骥
职称:主任医师
擅长: 肝癌、肝血管瘤、胆道结石、胆道肿瘤、胰腺肿瘤、脾疾病和胃肠肿瘤的微创外科手术,腹部创伤的诊治,肝癌、胆管癌、胰腺癌、胃癌…
-
毕敬涛
职称:副主任医师
擅长: 肝癌,肝脏血管瘤,胆囊癌,胰腺癌,胃癌,结肠癌的外科治疗;胆囊息肉,胆囊结石以及胆管结石的多镜联合微创手术治疗;成人腹股…
-
柏楠
职称:主任医师
擅长: 甲状腺、乳腺、甲状旁腺疾病以及普外科常见疾病和腹部创伤。尤其在乳腺良恶性肿瘤、甲状腺良恶性疾病,甲状旁腺肿瘤等的诊断和治…
-
赵景明
职称:主任医师
擅长: 腹腔镜微创手术、肝胆良恶性肿瘤、胆道系统、胰腺良恶性疾病以及脾脏疾病
-
张自琴
职称:主任医师
擅长: 乳腺及甲状腺及甲状旁腺疾病、骨质疏松
-
李文东
职称:副主任医师
擅长: 胃肠及肛门疾病,特别是胃肠肿瘤的诊治,腹腔镜微创手术,肛门直肠疾病的微创手术治疗,消化内镜下的胃肠疾病治疗
-
赵培旭
职称:副主任医师
擅长: 胃肠及肛门疾病,外科常见病
-
吴全
职称:副主任医师
擅长: 腹腔镜微创外科手术治疗肝胆胰胃肠疾病、甲状腺肿瘤,以及结直肠癌肝转移的综合治疗。应用PPH、套扎术等方式治疗重度环状痔、混…
-
王欣
职称:副主任医师
擅长: 腹部外科疾病,包括肝胆胰及胃肠、疝等疾病,普外科常见病诊治
-
赵轶国
职称:副主任医师
擅长: 胃癌,结直肠癌,胃肠间质瘤,甲状腺和甲状旁腺肿瘤,腹壁疝及其他普通外科常见病的外科治疗。
-
胡琳
职称:副主任医师
擅长: 普通外科肛肠疾病,胃肠疾病的外科治疗。
-
徐奇奇
职称:副主任医师
擅长: 胃肠道及胆道疾病
-
孔娜
职称:副主任医师
擅长: 甲状腺、乳腺、浅表淋巴结等实体肿瘤穿刺活检、消融,甲状腺、乳腺、甲状旁腺等外科常见疾病诊治
-
蔡轩
职称:副主任医师
擅长: 擅长综合治疗各种消化系统疾病,尤其在胆囊结石、胆管结石的诊断与治疗方面具有丰富的经验。专注于腹壁疝、腹股沟疝、食管裂孔疝…
-
王湘漪
职称:副主任医师
擅长: 消化系统肿瘤(包括胃癌、结直肠癌、肝胆肿瘤、胰腺癌、胃肠胰腺神经内分泌肿瘤等)的化疗、分子靶向及免疫治疗
-
普通号
职称:主治医师
擅长: 普外疾病
-
普通号
职称:主治医师
擅长: 普外科疾病
-
乳腺甲状腺专病门诊
职称:主治医师
擅长: 乳腺、甲状腺、甲状旁腺及外科内分泌疾病诊治及术后复查
-
肛肠专病门诊
职称:副主任医师
擅长: 14岁以上肛门直肠疾病
-
胆石症和胆道疾病专病门诊
职称:主任医师
擅长: 擅长胆囊结石、胆囊息肉、胆囊腺肌症、胆囊炎、胆囊癌、胆管结石、胆囊癌等疾病的微创治疗
-
肝胆胰肿瘤专病门诊
职称:主任医师
擅长: 胰腺癌、肝癌、胆管癌、肝血管瘤、胰腺实性假乳头状瘤、胰腺神经内分泌肿瘤、胰腺肿瘤的临床治疗



