科室动态
枣核引发小肠穿孔,普外科实施腹腔镜手术患者化险为夷
几天前,一位60多岁的老年患者捂着肚子来到了普外科急诊诊室,接诊医生施崭详细询问了病史,并进行了腹部查体,发现老人腹部已经出现了急性腹膜炎的表现,立即向孔娜主治医师汇报病情。
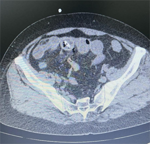
原来,老人当天凌晨突然出现了下腹部疼痛,并持续加重,继而出现发热症状。按照就诊流程,首先就诊于回龙观院区发热门诊,排除新冠肺炎的可能。老人腹部CT检查提示,小肠可见高密度影,并已穿破肠壁,周围有异常气体影,肝周和盆腔可见积液。医生再次追问病史,老人讲述近几日进食了大枣,但已记不清而是否将枣核也一并吞下。了解病情后,柏楠主任医师、吴全副主任医师和崔爱民主治医师果断决定完善相关术前检查,收入院给予急诊手术治疗。

术前的腹部CT
病房内,谭屾主治医师积极协调床位,完善术前各项准备,向老人家属交代风险、签署手术同意书,同时联系ICU病房预留床位。老人腹痛情况持续加重,同时伴有发热,麻醉医师许莉和王婧娴马上对患者展开术前麻醉评估,老人高龄,基础病较多,两位麻醉医师根据患者具体情况给予及时的对症处理。一切准备就绪,吴全副主任医师、谭屾主治医师和孔娜主治医师在腹腔镜下顺利完成了找到异物、取出异物、肠穿孔修补手术。老人腹部只有4个长约0.5-1cm的“小洞”,术后第2天就可以下床活动。在普外科、麻醉科、ICU、手术室等各个科室的通力配合下,老人得到了及时准确的诊治,化险为夷。
术中腹腔镜下将肠腔内异物取出
取出的“枣核”
温馨提示
在此特意提醒大家,如果您进食可能含有尖锐内容物的食物,例如大枣 、鱼时,一定要注意细嚼慢咽,避免误食。
北京积水潭医院普外科早在1993年即开展了微创腹腔镜技术,是北京地区乃至全国较早开展微创外科的医院之一。经过多年经验的积累和医师队伍的不断壮大,普外科现已开展腹腔镜下腹腔探查、消化道穿孔修补,胃、小肠、结直肠肿瘤切除、疝修补、阑尾切除、胆囊切除、胆道镜探查、取石,减重手术等等,受到广大患者的信任和肯定。
专家出诊时间
赵景明主任医师
专业特长:普外科常见疾病的诊断治疗,尤其在肝脏良恶性肿瘤、胆管、胆囊疾病、胰腺及脾脏疾病的诊治、腹腔镜微创手术等方面具有丰富的经验。
周五上午 副主任医师
专业特长:胃肠及肛门部疾病,特别是胃肠肿瘤的诊治、腹腔镜微创手术、肛门直肠疾病的微创手术治疗,消化内镜下胃肠疾病治疗。
周一上午副主任医师、周一下午疝与腹壁外科专病门诊、周一下午胆石症专病门诊、周三下午副主任医师、周三下午肥胖与糖尿病外科专病门诊
专业特长:腹腔镜微创手术、包括胆道结石、肝胆胰和胃肠肿瘤的手术治疗,成人各种疝和腹壁疾病的手术治疗、减重代谢手术。
周三上午副主任医师、周四上午副主任医师、周五下午普外科痔病与肛瘘专病门诊
专业特长:普外科疾病腔镜微创手术治疗、肝胆胰胃肠良、恶性疾病的综合治疗。
专业特长:腹部常见肝胆胰及胃肠等外科疾病。
文图丨普外科 孔娜
编辑丨靳晓方 于淼
校对丨于淼
团队成员
-
高鹏骥
职称:主任医师
擅长: 肝癌、肝血管瘤、胆道结石、胆道肿瘤、胰腺肿瘤、脾疾病和胃肠肿瘤的微创外科手术,腹部创伤的诊治,肝癌、胆管癌、胰腺癌、胃癌…
-
毕敬涛
职称:副主任医师
擅长: 肝癌,肝脏血管瘤,胆囊癌,胰腺癌,胃癌,结肠癌的外科治疗;胆囊息肉,胆囊结石以及胆管结石的多镜联合微创手术治疗;成人腹股…
-
柏楠
职称:主任医师
擅长: 甲状腺、乳腺、甲状旁腺疾病以及普外科常见疾病和腹部创伤。尤其在乳腺良恶性肿瘤、甲状腺良恶性疾病,甲状旁腺肿瘤等的诊断和治…
-
赵景明
职称:主任医师
擅长: 腹腔镜微创手术、肝胆良恶性肿瘤、胆道系统、胰腺良恶性疾病以及脾脏疾病
-
张自琴
职称:主任医师
擅长: 乳腺及甲状腺及甲状旁腺疾病、骨质疏松
-
李文东
职称:副主任医师
擅长: 胃肠及肛门疾病,特别是胃肠肿瘤的诊治,腹腔镜微创手术,肛门直肠疾病的微创手术治疗,消化内镜下的胃肠疾病治疗
-
赵培旭
职称:副主任医师
擅长: 胃肠及肛门疾病,外科常见病
-
吴全
职称:副主任医师
擅长: 腹腔镜微创外科手术治疗肝胆胰胃肠疾病、甲状腺肿瘤,以及结直肠癌肝转移的综合治疗。应用PPH、套扎术等方式治疗重度环状痔、混…
-
王欣
职称:副主任医师
擅长: 腹部外科疾病,包括肝胆胰及胃肠、疝等疾病,普外科常见病诊治
-
赵轶国
职称:副主任医师
擅长: 胃癌,结直肠癌,胃肠间质瘤,甲状腺和甲状旁腺肿瘤,腹壁疝及其他普通外科常见病的外科治疗。
-
胡琳
职称:副主任医师
擅长: 普通外科肛肠疾病,胃肠疾病的外科治疗。
-
徐奇奇
职称:副主任医师
擅长: 胃肠道及胆道疾病
-
孔娜
职称:副主任医师
擅长: 甲状腺、乳腺、浅表淋巴结等实体肿瘤穿刺活检、消融,甲状腺、乳腺、甲状旁腺等外科常见疾病诊治
-
蔡轩
职称:副主任医师
擅长: 擅长综合治疗各种消化系统疾病,尤其在胆囊结石、胆管结石的诊断与治疗方面具有丰富的经验。专注于腹壁疝、腹股沟疝、食管裂孔疝…
-
王湘漪
职称:副主任医师
擅长: 消化系统肿瘤(包括胃癌、结直肠癌、肝胆肿瘤、胰腺癌、胃肠胰腺神经内分泌肿瘤等)的化疗、分子靶向及免疫治疗
-
普通号
职称:主治医师
擅长: 普外疾病
-
普通号
职称:主治医师
擅长: 普外科疾病
-
乳腺甲状腺专病门诊
职称:主治医师
擅长: 乳腺、甲状腺、甲状旁腺及外科内分泌疾病诊治及术后复查
-
肛肠专病门诊
职称:副主任医师
擅长: 14岁以上肛门直肠疾病
-
胆石症和胆道疾病专病门诊
职称:主任医师
擅长: 擅长胆囊结石、胆囊息肉、胆囊腺肌症、胆囊炎、胆囊癌、胆管结石、胆囊癌等疾病的微创治疗
-
肝胆胰肿瘤专病门诊
职称:主任医师
擅长: 胰腺癌、肝癌、胆管癌、肝血管瘤、胰腺实性假乳头状瘤、胰腺神经内分泌肿瘤、胰腺肿瘤的临床治疗



