医疗特色
寰枢椎疾患病例一:Margel+ Brooks
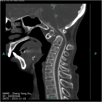
病例一:女性,52岁,诊断:齿突发育不全,寰枢椎半脱位

术前CT图像

术中导航

术中照片

术后颈椎侧位平片
上一篇: 脊柱侧弯和后凸畸形病例一:脊柱侧弯
下一篇: 脊柱侧弯和后凸畸形病例一:脊柱侧弯
团队成员
-
何达
职称:主任医师
擅长: 脊柱创伤,退行性疾病,脊柱畸形的诊治,擅长于脊柱微创手术,脊柱矫形技术,脊柱导航技术,脊柱人工间盘置换等非融合技术
-
茅剑平
职称:主任医师
擅长: 脊柱外科常见病的诊断和治疗,擅长颈椎,胸椎,腰椎疾病的手术治疗和微创手术
-
孙宇庆
职称:主任医师
擅长: 1.脊柱退行性疾病(颈椎病、腰椎管狭窄症、椎间盘突出症、腰椎滑脱症等)2.脊柱肿瘤(转移癌、原发肿瘤)3.脊柱畸形(侧弯、后突…
-
刘亚军
职称:主任医师
擅长: 颈椎腰椎疾病的诊断与治疗,骨科导航机器人微创手术,骨科冲击波非手术治疗
-
刘波
职称:主任医师
擅长: 脊柱外科常见病、疑难复杂疾病的诊断及治疗;计算机辅助导航外科手术;微创脊柱外科手术
-
袁强
职称:主任医师
擅长: 各种脊柱外科疑难病症的诊治,各种脊柱微创手术,腰椎管狭窄、腰椎间盘突出;颈椎疾患、脊柱的外伤骨折;脊柱韧带骨化症、椎管内…
-
行勇刚
职称:主任医师
擅长: 各类腰颈胸椎疾病、畸形
-
韩骁
职称:主任医师
擅长: 擅长颈椎病,腰椎间盘突出症,腰椎管狭窄症,颈椎间盘突出症,颈、胸、腰椎骨折的治疗,包括微创手术及开放手术。
-
崔冠宇
职称:主任医师
擅长: 脊柱外科,脊柱畸形,腰椎间盘突出症,腰椎管狭窄症,颈椎病,脊柱韧带骨化症,脊柱骨折
-
李楠
职称:主任医师
擅长: 保守与手术治疗各种类型的颈椎间盘突出症,颈椎管狭窄症,胸椎管狭窄症,胸椎黄韧带骨化症,腰椎间盘突出症,腰椎滑脱症,腰椎管…
-
袁宁
职称:主任医师
擅长: 颈椎病,腰椎间盘突出,腰椎管狭窄,脊柱侧凸、后凸畸形
-
韦祎
职称:主任医师
擅长: 脊柱创伤,老年性脊柱疾病,颈椎和腰椎管狭窄,颈椎和腰椎间盘突出,骨质疏松和椎体压缩性骨折
-
郎昭
职称:主任医师
擅长: 成人脊柱侧弯、后凸(驼背)、强直性脊柱炎等疾病的常规及微创治疗。腰椎滑脱、腰椎管狭窄症、腰椎间盘突出症的微创治疗。
-
王超
职称:主任医师
擅长: 寰枢椎(上颈椎)疾病,不包括肿瘤
-
何蔚
职称:主任医师
擅长: 1. 腰椎微创手术(单侧双通道脊柱内镜下手术,UBE)。2. 颈椎前路手术(ACDF,ACCF)。3. 脊柱骨折。4. 脊柱肌肉急慢性顽固疼痛…
-
吴静晔
职称:主任医师
擅长: 1.脊柱外科常见疾病的手术和微创手术治疗,包括腰椎间盘突出,腰椎滑脱,腰椎管狭窄,颈椎病,颈、胸、腰椎骨折等。2.成人脊柱畸…
-
肖斌
职称:主任医师
擅长: 青少年特发性脊柱侧弯,脊柱畸形,脊柱退行性疾病
-
胡临
职称:副主任医师
擅长: 各种脊柱微创手术、腰椎管狭窄、腰椎间盘突出,脊柱不稳定;颈椎疾患、脊柱的外伤骨折;脊柱韧带骨化症
-
李志宇
职称:副主任医师
擅长: 退化性脊柱疾患,脊髓肿瘤,脊柱创伤后颈、胸、腰椎骨折,椎管狭窄,脊柱不稳定
-
张波
职称:副主任医师
擅长: 脊柱创伤后颈、胸、腰椎骨折及骨折后畸形,退化性脊柱疾患,脊髓肿瘤,椎管狭窄,脊柱不稳定
-
王永庆
职称:副主任医师
擅长: 脊柱创伤,脊柱退变,脊柱侧弯后凸畸形等疾病,包括颈椎病,胸椎管狭窄,腰椎管狭窄,间盘突出,滑脱,各类脊柱骨折等
-
陶晓晖
职称:副主任医师
擅长: 脊柱外科领常见疾病的诊断和治疗,主要包括慢性骨病和急性损伤性疾病领域;腰椎常见疾病,颈椎常见疾病的诊断治疗
-
伊力夏提
职称:副主任医师
擅长: 颈、胸、腰椎创伤及退行性疾病的诊断和手术治疗
-
冯硕
职称:副主任医师
擅长: 擅长脊柱外科常见疾病的个性化治疗和微创治疗
-
蒋继乐
职称:副主任医师
擅长: 擅长脊柱微创治疗,包括腰椎间盘突出症,腰椎管狭窄症,骨质疏松性骨折,胸腰椎骨折等。脊柱畸形治疗与矫正,包括青少年特发性脊…
-
韩晓光
职称:副主任医师
擅长: 脊柱疾病的微创治疗,包括脊柱外伤骨折,颈椎病,胸椎管狭窄,腰椎间盘突出,腰椎管狭窄等脊柱退行性疾病的诊疗。
-
吴昕峰
职称:副主任医师
擅长: 强直性脊柱炎、颈腰椎间盘突出症、滑脱不稳定、颈胸腰椎管狭窄症、韧带骨化、颈椎病、骨折、老年骨质疏松、脊柱侧弯后凸畸形矫正…
-
马赛
职称:副主任医师
擅长: 擅长腰间盘突出症、腰椎管狭窄症、腰椎滑脱症、颈椎病及颈腰胸椎骨折
-
安岩
职称:副主任医师
擅长: 脊柱骨折、腰椎病、腰椎间盘突出、腰椎椎管狭窄症、后纵韧带骨化、颈椎病、腰椎压缩性骨折
-
阎凯
职称:副主任医师
擅长: 专家门诊:脊柱畸形矫正,脊柱退行性、创伤性疾病的诊治、微创手术及开放手术。专病门诊:青少年脊柱侧弯、成人脊柱畸形。
-
于杰
职称:副主任医师
擅长: 颈椎和腰椎退行性疾病治疗、骨科机器人智能手术技术、脊柱微创手术技术等
-
赵经纬
职称:副主任医师
擅长: 腰椎间盘突出症、颈椎病、颈椎管狭窄症、颈椎后纵韧带骨化症、脊柱骨折脱位、腰椎管狭窄症、腰椎陈旧性骨折后凸畸形等疾病诊治。
-
范明星
职称:副主任医师
擅长: 脊柱外科疾病的诊断与治疗,包括颈椎、腰椎间盘突出症、椎管狭窄症、腰椎滑脱症、骨折等,擅长计算机导航/机器人辅助微创手术技…
-
王含
职称:副主任医师
擅长: 脊髓型颈椎病的诊疗,微创脊柱手术,其它脊柱退行性疾病的手术治疗(椎管狭窄、间盘突出、滑脱等)
-
曾成
职称:副主任医师
擅长: 颈、腰椎间盘突出,颈、腰椎管狭窄,腰椎滑脱;脊柱韧带骨化症;脊柱外伤等相关疾病的微创及开放手术治疗,机器人辅助智能骨科手…
-
郑山
职称:副主任医师
擅长: 颈椎病,颈椎间盘突出症,颈椎管狭窄症,颈椎后纵韧带骨化症,腰椎间盘突出症,胸椎黄韧带骨化症,腰椎滑脱症,腰椎管狭窄症,多…
-
成人脊柱畸形专病门诊
职称:-
擅长: 成人脊柱畸形
-
上颈椎畸形筛查门诊
职称:主治医师
擅长: 上颈椎畸形筛查,上颈椎(寰枢椎)畸形;齿状突发育不良,寰枢椎半脱位;颅底凹陷症;Klippel-Fell综合症;Chair畸形等
-
脊柱外科普通号
职称:主治医师
擅长: 脊柱外科疾病
-
脊柱外科普通号
职称:-
擅长: 各种脊柱疾患


