科室动态
足踝外科成功实施3D打印距骨全表面置换手术,花季少女如愿步入大学
2022年9月2日,北京积水潭医院足踝外科武勇主任团队成功为一名19岁女孩完成了距骨全表面置换术。术后女孩恢复良好,即将走进大学校园。
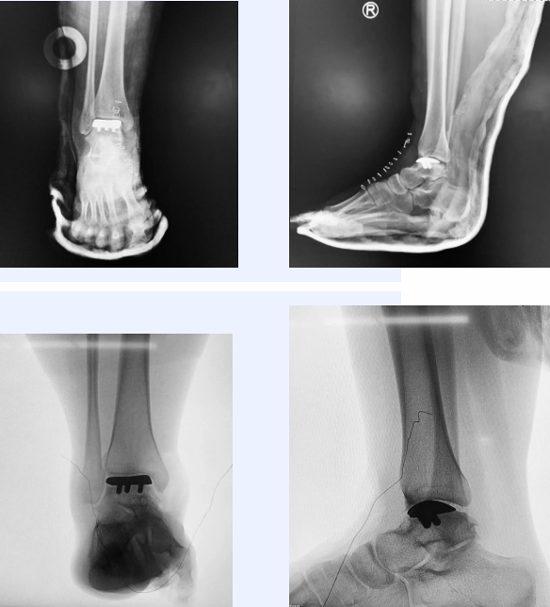
3D打印距骨全表面置换手术
女孩因患有系统性红斑狼疮病,需要长期服用激素药物治疗,造成了距骨的部分坏死,导致踝部活动受限,疼痛,行走困难。19岁正是活动量需求高的年龄,而且她还面临着马上要去上大学的问题,病情给她和家人造成了巨大的困扰。为了能进一步得到治疗,尽快恢复的正常学习生活,一家人慕名来到了北京积水潭医院,向足踝外科武勇主任团队寻求帮助。
武主任在门诊经过详细的阅片以及查体后发现,女孩的距骨虽然出现了坏死,但仅仅局限于距骨表面,胫骨侧骨质并未累及。“治疗大面积距骨坏死,传统手术方法包括踝关节融合,踝关节置换等手术。但患者太年轻,无论哪种手术都会对生活造成影响。为了最大限度的保留骨量,恢复踝关节活动度,可以尝试进行薄薄一层的距骨表面置换,替代表面已经坏死的距骨部分。”武勇主任介绍。
团队将女孩的CT的DICOM详细资料导入建模软件重新数字建模,武主任与设计工程团队反复推敲设计,经过1个多月的辛苦建模,假体导板设计,3D打印,假体消毒等环节,女孩终于在2022年9月2日完成了手术。
武勇主任(中)为患者进行3D距骨表面置换
术后透视照
在3D打印导板的辅助下,截骨精准顺利,定制化的假体植入后,女孩的踝关节恢复了正常的活动度,且最大量的保留了正常骨量,她和家人悬着的心终于放下了。“是武主任团队带我迈进了大学校园的第一步。”希望女孩在未来的大学生活里,脚踏实地,努力奔跑,早日实现自己的人生理想。
文丨足踝外科 李恒
编辑丨靳晓方 于淼
上一篇: 我的心愿,不过是如你所愿
团队成员
-
武勇
职称:主任医师
擅长: 治疗四肢骨折、足踝部损伤(骨折,韧带损伤),陈旧骨折畸形矫正,足踝部先天和后天疾病(拇外翻,平足,高弓足,距骨软骨病变,…
-
王岩
职称:主任医师
擅长: 擅长足踝部陈旧创伤及足踝部疾病的治疗。对平足、高弓足、马蹄内翻足、拇外翻、韧带损伤及足踝部关节炎等疾病的治疗具有较深的造…
-
杜辉
职称:主任医师
擅长: 泰勒空间外固定架结合内固定治疗下肢及足踝严重复杂畸形
-
孙宁
职称:副主任医师
擅长: 拇外翻、拇外翻手术后遗症,踝关节陈旧性扭伤,距骨坏死,足踝骨折
-
龚晓峰
职称:主任医师
擅长: 踝关节炎的微创保踝治疗、终末期踝关节炎的融合和关节置换手术、跗骨联合微创治疗、新鲜足踝骨折脱位及陈旧骨折畸形矫正、足踝部…
-
李莹
职称:主任医师
擅长: 踝关节韧带损伤,距骨软骨损伤,腓骨肌腱脱位,足部肌腱病,踝关节前后撞击综合征等运动损伤的关节镜微创及传统手术治疗,足踝部…
-
足踝外科普通号
职称:-
擅长:



