就医指南
带您了解不一样的小儿骨科——儿童股骨头骺滑脱专病门诊
前言
儿童骨科在骨科江湖中是一个特殊的“帮派”,既有年龄限制,又包罗万象,涵盖了创伤、畸形、肿瘤、感染、代谢性骨病等各类骨科疾患,所谓“麻雀虽小,五脏俱全”。面对五花八门的病种,如何做到精益求精,能够跟上甚至引领诊疗规范,是我们要面对的课题和挑战!
作为专职医生人数和年均门急诊量全国第一的积水潭医院小儿骨科,诊疗经验的累积和医生团队的不懈追求,构建了疾病组专业化的可能和基础。当然,严格培训是根本,也是传承,正如原小儿骨科主任郭源所言:一个连消毒铺单都不规范的医生,如何能相信他的手术效果呢?每位医生在回科后都要在常见的儿童创伤、髋脱位、肢体畸形矫正等方面具备基本的诊疗技能,之后在不断的打磨中,逐渐确立并追求自己的专业方向,更深入的进入到诊疗细节当中去,精雕细琢,而非蜻蜓点水。
今天,我们走进一部分积医儿骨的专病团队,从过往中汲取经验教训,在专业化的道路上互勉共进!

儿童股骨头骺滑脱专病门诊
髋关节是人类最重要的承重关节之一,小朋友从牙牙学语、蹒跚学步到长大成人、风华正茂,股骨头骺的发育也随着内分泌的变化、运动量大小的改变、体格的变化而在不同的时间段经受相应的改变和考验,在青春期前后尤其关键。
股骨头骺滑脱(Slipped Capital Femoral Epiphysis,SCFE)是青少年常见髋关节疾患之一,在患病早期,常常因为主诉是膝关节疼痛,或者大腿周围疼痛,或者是行走姿势欠佳、跛行,而认为是“膝关节扭伤”、“生长痛”、“外八字”等,忽视了髋关节的临床查体和影像学检查,而错过早期治疗。如果患儿肥胖或者有内分泌异常等情况,在不剧烈的体育活动后出现跛行、髋膝疼痛、步态异常等,更要警惕SCFE的发生。其主要并发症包括骨性关节炎、双下肢不等长、股骨头缺血坏死、软骨溶解等。北京积水潭医院小儿骨科诊治SCFE 的分析要点主要包括:病程长短、症状严重程度和影像学上显示的畸形严重程度,在股骨头骺的复位和尽可能避免股骨头缺血坏死之间做出对患者最有利的均衡的选择;如果是单侧发病,还要根据患者的年龄、内分泌现状和全身情况,决定是否进行对侧预防性固定。因此,每一例SCFE的治疗计划都是经过全面评估后得出的。
病例1 男,13岁,左侧重度SCFE
病例1 髋关节外科脱位,改良Dunn截骨,术后2年,X线示位置良好,无股骨头缺血坏死
1998年,北京积水潭医院小儿骨科在国内首先报道使用Russell牵引结合内固定治疗股骨头骺滑脱,在文中提出“对于急性滑脱,持续牵引逐渐内旋复位是可能的”;2012年开始应用髋关节外科脱位改良Dunn截骨来治疗重度SCFE;2018年在前期工作的基础上,开展应用股骨头骺内血供监测来实时监控术中股骨头骺血供;2019年开始应用在机器人辅助下行重度SCFE的经皮螺钉固定,并承担北京市医管中心专项项目:中重度股骨头骺滑脱治疗的临床研究。


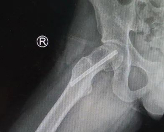
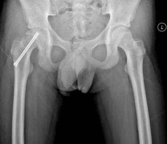
病例2 男,14岁,右侧重度SCFE,行闭合复位,经皮空心钉固定术
病例2 术中股骨头骺内实时血供监测显示复位后,股骨头血供良好

病例2 术后17个月复查,X线示位置良好,无股骨头缺血坏死发生
经过一代又一代人的临床实践、经验总结和对外交流,北京积水潭医院小儿骨科对于SCFE已形成有效的治疗体系,实现了精准治疗和个性化治疗,治疗理念、经治病例数及治疗经验目前都居于国内领先、国际先进水平。关于SCFE,尚有很多需要进一步探索之处,我们会更加努力,为患者提供更好的治疗。
儿童股骨头骺滑脱专病门诊
出诊专家:傅刚 主任医师
出诊地点和时间:新街口院区 周一上午、下午(专家门诊),周一晚间(特需门诊)
文图丨小儿骨科
上一篇: 小儿骨科科室介绍
下一篇: 儿童股骨头坏死常见的3种类型
团队成员
-
杨征
职称:主任医师
擅长: 儿童四肢畸形矫正,儿童创伤,儿童足畸形
-
吕学敏
职称:主任医师
擅长: 从新生儿到青少年的发育性髋关节脱位、股骨头缺血坏死、股骨头骺滑脱等各种髋关节疾患、足踝及各类肢体畸形的矫正、肢体创伤及陈…
-
冯超
职称:主任医师
擅长: 关节镜微创治疗儿童青少年骨关节疾患(膝关节半月板损伤,交叉韧带损伤及撕脱骨折,髌骨脱位等)
-
郭源
职称:主任医师
擅长: 儿童骨折,骨骺损伤;先天性、发育性及创伤性肢体畸形矫正
-
朱振华
职称:主任医师
擅长: 小儿先天疾患及创伤(脊柱除外)儿童恶性骨肿瘤
-
王玉琨
职称:主任医师
擅长: 儿童特发性股骨头缺血坏死(Legg-Perthes病);发育性髋关节脱位;青少年髋关节发育不良;股骨头骨骺滑脱;肢体不等长;儿童骨骺…
-
闫桂森
职称:主任医师
擅长: 儿童四肢与关节畸形、创伤、骨病,儿童足踝畸形
-
傅刚
职称:主任医师
擅长: 发育性髋脱位,股骨头缺血坏死,股骨头骺滑脱等髋部疾患,儿童骨折,肢体畸形,肿瘤
-
杨劼
职称:主任医师
擅长: 儿童及青少年髋关节疾患,先天或后天性肢体畸形矫正,儿童创伤或运动损伤
-
边臻
职称:主任医师
擅长: 脊柱侧弯、脑瘫、肢体延长、儿童创伤、儿童髋关节疾患、足踝畸形
-
董轶非
职称:主任医师
擅长: 16岁以下患者:儿童创伤,发育性髋关节脱位,儿童特发性股骨头缺血坏死,肢体畸形及双下肢不等长的矫正,骨肿瘤及类肿瘤疾患(脊…
-
徐易京
职称:副主任医师
擅长: 小儿先天疾患及创伤(脊柱除外)
-
尤海峰
职称:副主任医师
擅长: 儿童四肢骨折及骨折不愈合,创伤后遗症,先天畸形,发育性髋脱位,股骨头坏死,肢体延长
-
徐刚
职称:副主任医师
擅长: 儿童髋关节疾患(发育性髋脱位、股骨头缺血坏死及股骨头骺滑脱等),脑瘫的骨科治疗,儿童肢体骨折及骨折后遗症,肢体延长和畸形…
-
张骥
职称:副主任医师
擅长: 16岁以下发育性髋脱位,多发骨软骨瘤,骨关节畸形矫正和延长,陈旧骨折和关节脱位。(脊柱除外)
-
宋猛
职称:副主任医师
擅长: 发育性髋脱位,股骨头缺血坏死、四肢先天性畸形、儿童四肢骨折
-
张涛
职称:副主任医师
擅长: 儿童骨折、发育性髋脱位、儿童股骨头缺血坏死、儿童常见骨病、骨肿瘤和儿骨下肢畸形等
-
钱驭涛
职称:副主任医师
擅长: 儿童四肢与关节畸形、创伤、骨病
-
鲁明
职称:副主任医师
擅长: 儿童及青少年各类先天性及后天性足踝疾病、脑瘫的骨科治疗、下肢不等长及内外翻的矫正、儿童良性骨肿瘤的治疗,儿童骨折以及髋关…
-
姜宇
职称:副主任医师
擅长: 儿童骨折、发育性髋脱位、儿童股骨头缺血性坏死、常见肢体及脊柱畸形、骨病变
-
黄聪
职称:副主任医师
擅长: 16岁以下患者:骨折、发育性髋关节脱位,儿童特发性股骨头坏死,髋内翻,四肢畸形及双下肢不等长,骨肿瘤及类肿瘤疾患(脊柱疾病…
-
周达飞
职称:副主任医师
擅长: 16岁以下儿童四肢畸形,儿童少见先天畸形的诊断和治疗,儿童肘关节松解,儿骨复杂肘关节骨折及后遗症治疗
-
徐云峰
职称:副主任医师
擅长: 儿童运动损伤,脊柱畸形,四肢矫形矫正等,尤其擅长机器人辅助骨科手术
-
黄林
职称:副主任医师
擅长: 微创治疗儿童青少年髌骨脱位、髁间棘骨折、盘状半月板损伤等运动损伤相关疾病
-
马蹄内翻足专病门诊
职称:主任医师
擅长: 诊断与治疗14岁以下的足部下垂、内翻、内收的问题
-
儿童脑瘫专病门诊
职称:副主任医师
擅长: 擅长儿童和16周岁以下青少年脑瘫的骨科治疗,包括临床功能评估、步态分析和步态异常的治疗、脑瘫治疗方案的制定、脑瘫导致的脊柱…
-
小儿骨坏死专病门诊
职称:副主任医师
擅长: 儿童股骨头缺血性坏死的治疗
-
青少年保髋专病门诊
职称:主任医师
擅长: 18岁以下青少年髋关节脱位,髋臼发育不良,股骨头缺血坏死及后遗症畸形治疗,陈旧股骨颈骨折,髋关节术后残余畸形及翻修治疗,髋…
-
儿童运动损伤专病门诊
职称:主治医师
擅长: 16岁以内儿童及青少年髌骨脱位、髌骨骨折、半月板损伤(包括盘状半月板损伤),胫骨踝间棘骨折,膝前后交叉韧带损伤及其他运动相…
-
小儿骨科普通号
职称:主治医师
擅长: 小儿骨科疾患



