就医指南
带您了解不一样的小儿骨科——儿童创伤骨折
前言
儿童骨科在骨科江湖中是一个特殊的“帮派”,既有年龄限制,又包罗万象,涵盖了创伤、畸形、肿瘤、感染、代谢性骨病等各类骨科疾患,所谓“麻雀虽小,五脏俱全”。面对五花八门的病种,如何做到精益求精,能够跟上甚至引领诊疗规范,是我们要面对的课题和挑战!
作为专职医生人数和年均门急诊量全国第一的积水潭医院小儿骨科,诊疗经验的累积和医生团队的不懈追求,构建了疾病组专业化的可能和基础。当然,严格培训是根本,也是传承,正如原小儿骨科主任郭源所言:一个连消毒铺单都不规范的医生,如何能相信他的手术效果呢?每位医生在回科后都要在常见的儿童创伤、髋脱位、肢体畸形矫正等方面具备基本的诊疗技能,之后在不断的打磨中,逐渐确立并追求自己的专业方向,更深入的进入到诊疗细节当中去,精雕细琢,而非蜻蜓点水。
今天,我们走进一部分积医儿骨的专病团队,从过往中汲取经验教训,在专业化的道路上互勉共进!

儿童创伤
在普通百姓的概念中,儿童骨头软不容易发生骨折;其实不然,儿童骨骼弹性好但是强度低,相同暴力下比成人更容易发生骨折。小孩子发生意外导致损伤,常常第一时间就诊于骨科,但并不知道在骨科里还有一个更为专业的小儿骨科。由于儿童的骨骼与成人存在着巨大的差异,从新生儿到生长发育接近停止,骨骼发育的每个阶段都有不同特点,发生损伤时有很多儿童特有的骨折类型;因此无论在治疗理念、治疗方式和手术方法上都与成人有着或多或少的不同。如果完全按照成人的治疗方法来治疗儿童骨折,可能会带来非常严重的后果。
在北京积水潭医院,小儿骨科急诊每年的儿童创伤就诊人数达30000人次以上,尤其在暑假高峰期甚至达到日接诊量突破200人次,病种几乎涵盖了所有儿童骨折的类型。绝大部分儿童骨折的患者通过闭合复位、石膏固定的方式获得了治愈,手术率低于20%;手术主要是关节内骨折、不稳定骨折、复杂骨折,以微创方式为主,治愈骨折的同时又减少了手术的创伤和疤痕的形成。
儿童肱骨髁上骨折
这是儿童肘关节骨折中发生率最高的骨折,明显移位的骨折保守治疗容易发生再移位而导致肘内翻畸形,而切开复位内固定的方式容易引起肘关节的功能受限;此外,不恰当的治疗更会引起严重的并发症。因此,闭合复位经皮穿针内固定的方式成为了最佳的治疗方式,最大限度地减少了手术创伤,显著降低了肘内翻和肘关节活动受限的发生率。
病例1 肱骨髁上骨折闭合复位穿针

弹性髓内针
儿童长骨骨折传统的治疗方式也是保守治疗,而确实需要手术的患者如果选择切开复位钢板固定的方式,不可避免地增加了手术创伤,同时感染、骨折不愈合、内固定断裂、内固定取出后再骨折的发生率相对高发,因此,专门为儿童开发的弹性髓内针成为治疗儿童长骨骨折的首选。闭合复位经皮置入髓内针,进针点皮肤切口仅1-2cm,不仅微创而且固定牢靠,愈合后取出容易。


儿童复杂肘关节骨折及脱位
随着时代的进步和运动方式的变化,儿童肘关节复杂骨折及脱位发生率呈明显上升趋势,并发症(如术后肘关节僵硬)发生率也较高,对治疗提出了挑战。积水潭医院小儿骨科通过多年的治疗经验结合现代的治疗理念,已经形成了比较成熟的治疗方法,在恢复骨骼结构稳定性的同时规范地进行功能训练,最大限度地恢复肘关节的功能。
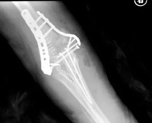
病例7 肱骨髁间骨折术后肘关节僵硬



松解后
儿童四肢骨折及肘关节复杂骨折专病门诊
出诊地点和时间:新街口院区 周一(晚间特需门诊)、周二(专家门诊),新龙泽院区 周四(专家门诊)。
文丨小儿骨科
图丨小儿骨科
编辑丨靳晓方 于淼
团队成员
-
杨征
职称:主任医师
擅长: 儿童四肢畸形矫正,儿童创伤,儿童足畸形
-
吕学敏
职称:主任医师
擅长: 从新生儿到青少年的发育性髋关节脱位、股骨头缺血坏死、股骨头骺滑脱等各种髋关节疾患、足踝及各类肢体畸形的矫正、肢体创伤及陈…
-
冯超
职称:主任医师
擅长: 关节镜微创治疗儿童青少年骨关节疾患(膝关节半月板损伤,交叉韧带损伤及撕脱骨折,髌骨脱位等)
-
郭源
职称:主任医师
擅长: 儿童骨折,骨骺损伤;先天性、发育性及创伤性肢体畸形矫正
-
朱振华
职称:主任医师
擅长: 小儿先天疾患及创伤(脊柱除外)儿童恶性骨肿瘤
-
王玉琨
职称:主任医师
擅长: 儿童特发性股骨头缺血坏死(Legg-Perthes病);发育性髋关节脱位;青少年髋关节发育不良;股骨头骨骺滑脱;肢体不等长;儿童骨骺…
-
闫桂森
职称:主任医师
擅长: 儿童四肢与关节畸形、创伤、骨病,儿童足踝畸形
-
傅刚
职称:主任医师
擅长: 发育性髋脱位,股骨头缺血坏死,股骨头骺滑脱等髋部疾患,儿童骨折,肢体畸形,肿瘤
-
杨劼
职称:主任医师
擅长: 儿童及青少年髋关节疾患,先天或后天性肢体畸形矫正,儿童创伤或运动损伤
-
边臻
职称:主任医师
擅长: 脊柱侧弯、脑瘫、肢体延长、儿童创伤、儿童髋关节疾患、足踝畸形
-
董轶非
职称:主任医师
擅长: 16岁以下患者:儿童创伤,发育性髋关节脱位,儿童特发性股骨头缺血坏死,肢体畸形及双下肢不等长的矫正,骨肿瘤及类肿瘤疾患(脊…
-
徐易京
职称:副主任医师
擅长: 小儿先天疾患及创伤(脊柱除外)
-
尤海峰
职称:副主任医师
擅长: 儿童四肢骨折及骨折不愈合,创伤后遗症,先天畸形,发育性髋脱位,股骨头坏死,肢体延长
-
徐刚
职称:副主任医师
擅长: 儿童髋关节疾患(发育性髋脱位、股骨头缺血坏死及股骨头骺滑脱等),脑瘫的骨科治疗,儿童肢体骨折及骨折后遗症,肢体延长和畸形…
-
张骥
职称:副主任医师
擅长: 16岁以下发育性髋脱位,多发骨软骨瘤,骨关节畸形矫正和延长,陈旧骨折和关节脱位。(脊柱除外)
-
宋猛
职称:副主任医师
擅长: 发育性髋脱位,股骨头缺血坏死、四肢先天性畸形、儿童四肢骨折
-
张涛
职称:副主任医师
擅长: 儿童骨折、发育性髋脱位、儿童股骨头缺血坏死、儿童常见骨病、骨肿瘤和儿骨下肢畸形等
-
钱驭涛
职称:副主任医师
擅长: 儿童四肢与关节畸形、创伤、骨病
-
鲁明
职称:副主任医师
擅长: 儿童及青少年各类先天性及后天性足踝疾病、脑瘫的骨科治疗、下肢不等长及内外翻的矫正、儿童良性骨肿瘤的治疗,儿童骨折以及髋关…
-
姜宇
职称:副主任医师
擅长: 儿童骨折、发育性髋脱位、儿童股骨头缺血性坏死、常见肢体及脊柱畸形、骨病变
-
黄聪
职称:副主任医师
擅长: 16岁以下患者:骨折、发育性髋关节脱位,儿童特发性股骨头坏死,髋内翻,四肢畸形及双下肢不等长,骨肿瘤及类肿瘤疾患(脊柱疾病…
-
周达飞
职称:副主任医师
擅长: 16岁以下儿童四肢畸形,儿童少见先天畸形的诊断和治疗,儿童肘关节松解,儿骨复杂肘关节骨折及后遗症治疗
-
徐云峰
职称:副主任医师
擅长: 儿童运动损伤,脊柱畸形,四肢矫形矫正等,尤其擅长机器人辅助骨科手术
-
黄林
职称:副主任医师
擅长: 微创治疗儿童青少年髌骨脱位、髁间棘骨折、盘状半月板损伤等运动损伤相关疾病
-
马蹄内翻足专病门诊
职称:主任医师
擅长: 诊断与治疗14岁以下的足部下垂、内翻、内收的问题
-
儿童脑瘫专病门诊
职称:副主任医师
擅长: 擅长儿童和16周岁以下青少年脑瘫的骨科治疗,包括临床功能评估、步态分析和步态异常的治疗、脑瘫治疗方案的制定、脑瘫导致的脊柱…
-
小儿骨坏死专病门诊
职称:副主任医师
擅长: 儿童股骨头缺血性坏死的治疗
-
青少年保髋专病门诊
职称:主任医师
擅长: 18岁以下青少年髋关节脱位,髋臼发育不良,股骨头缺血坏死及后遗症畸形治疗,陈旧股骨颈骨折,髋关节术后残余畸形及翻修治疗,髋…
-
儿童运动损伤专病门诊
职称:主治医师
擅长: 16岁以内儿童及青少年髌骨脱位、髌骨骨折、半月板损伤(包括盘状半月板损伤),胫骨踝间棘骨折,膝前后交叉韧带损伤及其他运动相…
-
小儿骨科普通号
职称:主治医师
擅长: 小儿骨科疾患


