科室动态
【世界首例】北京积水潭医院足踝外科完成世界首例距骨定制化3D打印部分假体植入
来自山西46岁的樊先生最近过得很痛苦,踝关节疼痛了将近两年,一走路就疼,不能剧烈活动。作为家里的顶梁柱,樊先生却不能久站,不能长时间奔波,工作生活受到了巨大的影响。他一年内辗转多个医院,拍了多次片子,最终确诊为“距骨骨软骨损伤,距骨囊肿(巨大)”。

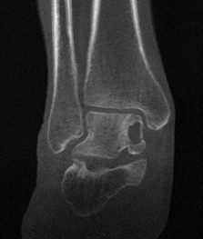
患者巨大骨囊肿,踝关节面明显受累
据樊先生回忆:“几个当地医院都说病变范围太大,治疗的效果欠佳,建议到北京去看看。”他托北京的朋友打听到了积水潭医院足踝外科的武勇主任。武主任专注从事足踝外科工作20余年,经验丰富,治疗方法以及效果国内外领先,而且积水潭医院又成立了专业的足踝外科,几经波折终于挂上了武勇主任的专家号。
在门诊,武主任详细地询问了病史,仔细地查体,提出了两种治疗方案。
手术方案一
取自体骨移植到病灶侧,但限于面积太大,可能会对取骨部位造成过大的损伤,且对于巨大骨软骨损伤,对于如此巨大的缺损移植效果不敢保证。
手术方案二
采用北京积水潭医院足踝外科的定制化新技术,3D打印一个跟缺损部位几乎一模一样的假体,做一个小切口植入进去,即精准又快捷,手术创伤也小。
樊先生与家里商量后决定:“要做就做最先进的!”
3D打印定制化假体是我国目前发展飞速的新型临床技术,北京积水潭医院与北京爱康宜诚公司合作,一起研发开创了该技术在骨科的多种应用,例如髋臼缺损重建,关节假体翻修中骨缺损填补,腕关节定制化假体等等。但利用3D打印部分距骨一体化假体来治疗合并巨大骨缺损或囊性变的距骨骨软骨损伤在世界范围内尚未报道,根据文献查阅,此次手术为世界首例。这种治疗方式保留了自体的健康距骨,仅置换掉受损部分,同时能填充上骨质缺损,并且能非常好地解决自体骨移植技术中最难解决“肩部”匹配性问题。相比目前国内外已有的全距骨置换或者全踝关节置换具有明显优势。
在完成了双足负重CT的检查以及病理穿刺活检(排除恶性肿瘤)后,武勇主任团队对其进行了精准的三维建模,划定病损铲除区域,反复与工程师商议假体的设计和定制化导板的细节。在团队经历了不厌其烦的磨合与商议,以及近1个月设计与加工生产后,樊先生终于在2021年10月19日迎来了自己的手术。
消毒铺单完毕后,武勇主任熟练地进行了胫骨V型截骨,显露关节,找到病变的区域,将事先设计好的导板贴附在距骨的病变区,按照截骨导板,精准地铲除了病变的区域,装入试模假体,对截骨的底部进行了细微地调整,再次放入试模发现贴合良好,于是将3D打印的假体置入,克氏针固定截骨端,活动踝关节,确定周围组织无撞击以及假体初始稳定性良好,透视关节对合良好,遂拧入两枚空心钉固定,逐层缝合手术结束。手术过程非常顺利,用时不到1个小时。




手术中情况
术后第二天查房时樊先生表示,现在疼痛明显减轻很多,没想到这么复杂的手术竟然这么顺利,术前紧锁的眉头终于舒展了。再经过两天的住院观察,拆除石膏后便可立刻开始非负重锻炼,很快就可以回家康复。
武勇主任友情提示:距骨骨软骨损伤是非常常见的踝关节疾病,多发于创伤、慢性关节不稳定的患者。多数患者在早期即可发现,也有少数患者发现时病变已经多发、巨大,且距骨形态的特点导致了取骨移植的难度,“拆东墙补西墙”不仅破坏大,且很难达到高度的关节匹配。我国最近飞速进步的医疗3D打印技术,为这类患者带来了福音。这种定制化的假体,俗称“缺哪补哪”明显更适用于此类的患者,手术的难度不在于术中,而在于仔细认真地查体,详尽地术前准备,详细精准地三维建模,反反复复地跨学科沟通,医学与工科交融。
祖国强大的工业体系支撑了国家的脊梁,也促进了医疗行业的发展,为人民群众带来了实在的福利,同时也希望罹患足踝疾病的患者早早就医,避免类似的疾患的进一步发展。
文图丨足踝外科 李恒
编辑丨靳晓方 于淼
团队成员
-
武勇
职称:主任医师
擅长: 治疗四肢骨折、足踝部损伤(骨折,韧带损伤),陈旧骨折畸形矫正,足踝部先天和后天疾病(拇外翻,平足,高弓足,距骨软骨病变,…
-
王岩
职称:主任医师
擅长: 擅长足踝部陈旧创伤及足踝部疾病的治疗。对平足、高弓足、马蹄内翻足、拇外翻、韧带损伤及足踝部关节炎等疾病的治疗具有较深的造…
-
杜辉
职称:主任医师
擅长: 泰勒空间外固定架结合内固定治疗下肢及足踝严重复杂畸形
-
孙宁
职称:副主任医师
擅长: 拇外翻、拇外翻手术后遗症,踝关节陈旧性扭伤,距骨坏死,足踝骨折
-
龚晓峰
职称:主任医师
擅长: 踝关节炎的微创保踝治疗、终末期踝关节炎的融合和关节置换手术、跗骨联合微创治疗、新鲜足踝骨折脱位及陈旧骨折畸形矫正、足踝部…
-
李莹
职称:主任医师
擅长: 踝关节韧带损伤,距骨软骨损伤,腓骨肌腱脱位,足部肌腱病,踝关节前后撞击综合征等运动损伤的关节镜微创及传统手术治疗,足踝部…
-
足踝外科普通号
职称:-
擅长:



