就医指南
带您了解不一样的小儿骨科——儿童青少年运动损伤专病门诊
前言
儿童骨科在骨科江湖中是一个特殊的“帮派”,既有年龄限制,又包罗万象,涵盖了创伤、畸形、肿瘤、感染、代谢性骨病等各类骨科疾患,所谓“麻雀虽小,五脏俱全”。面对五花八门的病种,如何做到精益求精,能够跟上甚至引领诊疗规范,是我们要面对的课题和挑战!
作为专职医生人数和年均门急诊量全国第一的积水潭医院小儿骨科,诊疗经验的累积和医生团队的不懈追求,构建了疾病组专业化的可能和基础。当然,严格培训是根本,也是传承,正如原小儿骨科主任郭源所言:一个连消毒铺单都不规范的医生,如何能相信他的手术效果呢?每位医生在回科后都要在常见的儿童创伤、髋脱位、肢体畸形矫正等方面具备基本的诊疗技能,之后在不断的打磨中,逐渐确立并追求自己的专业方向,更深入的进入到诊疗细节当中去,精雕细琢,而非蜻蜓点水。
今天,我们走进一部分积医儿骨的专病团队,从过往中汲取经验教训,在专业化的道路上互勉共进!
儿童青少年运动损伤专病门诊
儿童青少年运动损伤专业组于1998年开始关节镜下膝关节运动损伤的诊疗工作,专病门诊开设于2014年,由小儿骨科冯超主任医师及团队成员共同完成接诊和治疗,肢体其它关节疾患的诊治工作也稳步开展。时任科主任郭源教授给予大力支持,原运动医学科冯华主任,小儿骨科张建立主任医师、王玉琨主任医师进行了精心的技术指导,小儿骨科王楠护士长带领护师胡亚楠、彭琳琳组成专业护理团队,康复科李艳超医师提供了全程康复支持,团队经过长时间协作,分工明确,周到细致。
前交叉韧带损伤在儿童和青少年中越来越常见,损伤主要表现为两种形式:韧带实质部损伤和胫骨髁间棘撕脱骨折,团队经过20年的努力,已经将诊断及治疗流程标准化,目前正在科室行政主任杨征带领下承担北京市卫健委迎冬奥国际合作择优资助基金项目:中国儿童青少年前交叉韧带实质部损伤和胫骨髁间棘撕脱骨折诊疗指南的编写工作。

前交叉韧带损伤,箭头为前交叉韧带

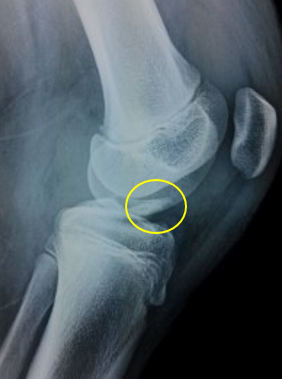
胫骨髁间嵴骨折

胫骨髁间嵴骨折患儿术后康复情况
儿童青少年髌骨脱位也是常见病,脱位表现形式多样,包括先天性,习惯性,复发性,急性脱位,专业组选择特别针对生长期儿童设计的手术方式,稳定复位髌骨同时不损伤生长潜力,目前有较大规模患者微信群2个,一直进行长期跟踪随访。

先天性盘状半月板是儿童好发病,常常导致膝关节伸直受限和疼痛,出现症状需要及早手术处理,微创关节镜下修整成型是保留半月板的最佳方式。

先天性盘状半月板
儿童青少年运动损伤专病门诊
出诊专家:冯超 副教授 主任医师
出诊时间和地点:每周二全天(新龙泽院区),每周五上午(新街口院区)
图丨小儿骨科
编辑丨靳晓方 于淼
上一篇: 踝外翻畸形治疗的新进展
团队成员
-
杨征
职称:主任医师
擅长: 儿童四肢畸形矫正,儿童创伤,儿童足畸形
-
吕学敏
职称:主任医师
擅长: 从新生儿到青少年的发育性髋关节脱位、股骨头缺血坏死、股骨头骺滑脱等各种髋关节疾患、足踝及各类肢体畸形的矫正、肢体创伤及陈…
-
冯超
职称:主任医师
擅长: 关节镜微创治疗儿童青少年骨关节疾患(膝关节半月板损伤,交叉韧带损伤及撕脱骨折,髌骨脱位等)
-
郭源
职称:主任医师
擅长: 儿童骨折,骨骺损伤;先天性、发育性及创伤性肢体畸形矫正
-
朱振华
职称:主任医师
擅长: 小儿先天疾患及创伤(脊柱除外)儿童恶性骨肿瘤
-
王玉琨
职称:主任医师
擅长: 儿童特发性股骨头缺血坏死(Legg-Perthes病);发育性髋关节脱位;青少年髋关节发育不良;股骨头骨骺滑脱;肢体不等长;儿童骨骺…
-
闫桂森
职称:主任医师
擅长: 儿童四肢与关节畸形、创伤、骨病,儿童足踝畸形
-
傅刚
职称:主任医师
擅长: 发育性髋脱位,股骨头缺血坏死,股骨头骺滑脱等髋部疾患,儿童骨折,肢体畸形,肿瘤
-
杨劼
职称:主任医师
擅长: 儿童及青少年髋关节疾患,先天或后天性肢体畸形矫正,儿童创伤或运动损伤
-
边臻
职称:主任医师
擅长: 脊柱侧弯、脑瘫、肢体延长、儿童创伤、儿童髋关节疾患、足踝畸形
-
董轶非
职称:主任医师
擅长: 16岁以下患者:儿童创伤,发育性髋关节脱位,儿童特发性股骨头缺血坏死,肢体畸形及双下肢不等长的矫正,骨肿瘤及类肿瘤疾患(脊…
-
徐易京
职称:副主任医师
擅长: 小儿先天疾患及创伤(脊柱除外)
-
尤海峰
职称:副主任医师
擅长: 儿童四肢骨折及骨折不愈合,创伤后遗症,先天畸形,发育性髋脱位,股骨头坏死,肢体延长
-
徐刚
职称:副主任医师
擅长: 儿童髋关节疾患(发育性髋脱位、股骨头缺血坏死及股骨头骺滑脱等),脑瘫的骨科治疗,儿童肢体骨折及骨折后遗症,肢体延长和畸形…
-
张骥
职称:副主任医师
擅长: 16岁以下发育性髋脱位,多发骨软骨瘤,骨关节畸形矫正和延长,陈旧骨折和关节脱位。(脊柱除外)
-
宋猛
职称:副主任医师
擅长: 发育性髋脱位,股骨头缺血坏死、四肢先天性畸形、儿童四肢骨折
-
张涛
职称:副主任医师
擅长: 儿童骨折、发育性髋脱位、儿童股骨头缺血坏死、儿童常见骨病、骨肿瘤和儿骨下肢畸形等
-
钱驭涛
职称:副主任医师
擅长: 儿童四肢与关节畸形、创伤、骨病
-
鲁明
职称:副主任医师
擅长: 儿童及青少年各类先天性及后天性足踝疾病、脑瘫的骨科治疗、下肢不等长及内外翻的矫正、儿童良性骨肿瘤的治疗,儿童骨折以及髋关…
-
姜宇
职称:副主任医师
擅长: 儿童骨折、发育性髋脱位、儿童股骨头缺血性坏死、常见肢体及脊柱畸形、骨病变
-
黄聪
职称:副主任医师
擅长: 16岁以下患者:骨折、发育性髋关节脱位,儿童特发性股骨头坏死,髋内翻,四肢畸形及双下肢不等长,骨肿瘤及类肿瘤疾患(脊柱疾病…
-
周达飞
职称:副主任医师
擅长: 16岁以下儿童四肢畸形,儿童少见先天畸形的诊断和治疗,儿童肘关节松解,儿骨复杂肘关节骨折及后遗症治疗
-
徐云峰
职称:副主任医师
擅长: 儿童运动损伤,脊柱畸形,四肢矫形矫正等,尤其擅长机器人辅助骨科手术
-
黄林
职称:副主任医师
擅长: 微创治疗儿童青少年髌骨脱位、髁间棘骨折、盘状半月板损伤等运动损伤相关疾病
-
马蹄内翻足专病门诊
职称:主任医师
擅长: 诊断与治疗14岁以下的足部下垂、内翻、内收的问题
-
儿童脑瘫专病门诊
职称:副主任医师
擅长: 擅长儿童和16周岁以下青少年脑瘫的骨科治疗,包括临床功能评估、步态分析和步态异常的治疗、脑瘫治疗方案的制定、脑瘫导致的脊柱…
-
小儿骨坏死专病门诊
职称:副主任医师
擅长: 儿童股骨头缺血性坏死的治疗
-
青少年保髋专病门诊
职称:主任医师
擅长: 18岁以下青少年髋关节脱位,髋臼发育不良,股骨头缺血坏死及后遗症畸形治疗,陈旧股骨颈骨折,髋关节术后残余畸形及翻修治疗,髋…
-
儿童运动损伤专病门诊
职称:主治医师
擅长: 16岁以内儿童及青少年髌骨脱位、髌骨骨折、半月板损伤(包括盘状半月板损伤),胫骨踝间棘骨折,膝前后交叉韧带损伤及其他运动相…
-
小儿骨科普通号
职称:主治医师
擅长: 小儿骨科疾患


