【积医科普】再见,出血季
很多疾病的发生和季节是有一定关系的,上消化道出血也是。秋冬到开春的出血季暂时过去了,在这里回顾几个典型病例,让我们来看看哪些情况可能会发生上消化道出血,给有相关病史、症状或者危险因素的朋友们提个醒。
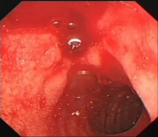
典型病例一
是个肝硬化患者,食管静脉曲张破裂出血。

食管腔里充满血液,一处静脉曲张的破口处,血柱喷射而出。

浴血奋战,最终以硬化剂注射堵住了破口,暂时救回一命。

提示
如果您有慢性病毒性肝炎病史,长期饮酒史,长期脂肪肝,多次发现肝功能异常等等,一定要定期体检,警惕肝硬化的发生;如果你已经确诊肝硬化,请定期复诊,规范治疗,注意静脉曲张出血的风险。别吃硬的!别使劲!别暴怒!别劳累!这种出血都是血如泉涌,危险万分的,一定要保重。
典型病例二
是个老年冠心病患者,口服阿司匹林/波立维导致的消化性溃疡,溃疡出血。

十二指肠溃疡活动性出血。

是溃疡基底的血管出血,注射止血后观察溃疡面还是挺大的。
提示
确实有心脑血管梗塞性疾病,或者心脑血管梗塞潜在风险较大的病人(由心脑血管专业的大夫来评估),阿司匹林/氯吡格雷等抗血小板药物还是很重要的,要吃;但如果没有心脑血管方面的问题,千万不能把阿司匹林当成保健药来吃,或是听说哪个亲戚朋友同事吃了,你也跟着吃,说不定就会吃出消化性溃疡出血来。
典型病例三
患者为年轻人,幽门杆菌感染导致的消化性溃疡,溃疡出血。

十二指肠溃疡,溃疡底部的动脉搏动性喷血,失血性休克,心率一过性彪到200次/分,浴血奋战,又是注射又是夹子,最终止血。

提示
年轻人工作劳累,如果经常有胃痛胃胀等上腹部不适症状,别硬扛着,该检查检查,有幽门杆菌感染的话,就规范治疗,别拖着,拖着拖着,万一溃疡出血了,也是可能要了命的。
典型病例四
中年患者,胃癌出血。

又大又不规则的溃疡,溃疡的苔也是“脏脏的”,做胃镜的时候已经没有活动性出血了,但病变性质不乐观,怀疑胃癌出血,最终病理结果确诊“胃癌”。
提示
有消化道肿瘤家族史,萎缩性胃炎,长期HP感染,吸烟,咸食等危险因素的人,随着年龄逐渐增大,胃癌的患病风险也逐渐增加,可以到医院进行胃癌的早期筛查,而有明确消化道症状的人,直接做内镜检查更合适。所有的癌都强调早期发现早期治疗。
典型病例五
年轻人饮酒后呕吐,贲门粘膜撕裂出血。

贲门两道新鲜的撕裂伤口合并出血。

用金属夹子夹闭裂口止血。
提示
恶心不舒服,饮酒后不舒服,实在想吐,也悠着点吐。别解着恨的吐,真该着倒霉的时候,就不是吐完了痛快,吐完了舒服了,真要是吐血了,再不能及时到医院,吐死的也是有的。不是吓你。真喝多了,悠着点吐,别作~
最后,希望今年的出血季来的晚一些,病人少一些。大家多一些医疗保健常识,有啥不舒服也别等到危急重症时再来看病。
编辑丨靳晓方 于淼
上一篇: 【积医科普】极端天气该如何保护呼吸系统


