科室动态
医患故事丨车祸伤老人危在旦夕,北京积水潭医院胸外科奋战7小时成功挽救生命
近日,北京积水潭医院接诊了一名危重症车祸伤患者,经过胸外科团队7个小时的奋战,患者得以救治,目前已康复出院。
6月5日,对于66岁的老张来说是个不幸的日子。当天,他像往常一样骑着电动车去农田干活,途中,一辆半挂大货车突然出现将他撞伤。老张伤势严重,120急救车将他运至当地市级三甲医院。
经胸部CT检查后发现,老张存在大量的血气胸及严重的肋骨骨折,医生建议稳定病情后到北京积水潭医院就诊。两天后,老张被转运至新街口院区急诊。
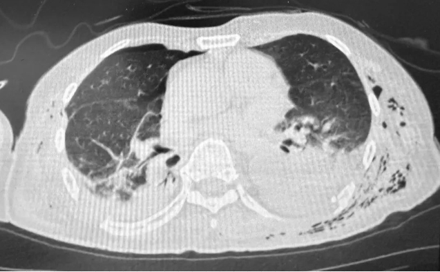
急诊科迅速为老张完善一系列检查。复查胸部CT显示,老张的胸部双侧有大量的创伤性血气胸,右侧第1-8肋骨及左侧第1-11肋骨骨折,双肺挫伤伴有膨胀不全,纵膈、颈部及胸壁皮下广泛气肿。软化的胸壁及大量的血气胸等危重情况,随时可能造成严重的呼吸循环障碍,生命危在旦夕。

▲患者双侧存在大量的创伤性血气胸

▲右侧第1-8肋骨及左侧第1-11肋骨骨折
胸外科团队详细评估患者病情考虑,只有积极地手术治疗才有可能挽救生命。在告知老张及其家属病情后,最终他们选择信任医护团队,接受手术。
为争取手术时机,胸外科主任张强及张冬医师紧急协调,在入院当天为老张进行了急诊手术治疗。术中,患者双侧胸腔内吸出近2000ml的陈旧性血液,探查胸腔发现,双侧肺组织多处挫裂伤。手术团队将患者受损后没有功能的肺组织进行了切除,同时通过肋骨内固定,重建其双侧塌陷的胸壁。时间一分一秒地在流逝,此时已是凌晨,历时近7个小时,手术团队通力协作成功将老张从“死神”手中拉回来。
术后,经过ICU、胸外科医护人员的细心照料,老张的呼吸循环迅速恢复。胸部CT显示,双侧血气胸消失,双肺膨胀良好,双侧塌陷的胸壁恢复正常。术后两周,老张康复,他挺起胸脯,激动地表示:“感谢积水潭医院的医护人员,是你们救了我的命!”

术后胸部CT
供稿丨胸外科 韩柯
编发丨宣传中心
上一篇: 积医科普 | 肺上有结节,这事儿大不大?








