难度升级!手外科利用3D打印技术辅助再造全长拇指缺损
近日,北京积水潭医院手外科陈山林团队应用3D打印第一腕掌关节+掌骨技术,再次完成一例重度拇指缺损的再造手术。这例手术与去年 “定制化3D打印掌骨联合改良踇甲瓣技术再造可活动腕掌关节的拇指”手术相比,不仅难度升级,术式也是该团队首创。

张先生的求医之路
来自河北的张先生(化名)就是重度拇指缺损的患者。张先生在工作时右手拇指不慎被机器挤压,导致严重的开放性创伤,拇指仅有一小条皮蒂与手掌相连,当地医院急诊就诊后,医生经探查拇指情况,发现组织毁损严重,没有再植条件,只好去除毁损的拇指,把伤口清创缝合。
伤口顺利愈合了,但生活的打击才刚刚开始。由于创伤范围大,伤后拇指及第一掌骨、大鱼际软组织均完全缺损,整个手掌仅剩下四个掌骨及四个手指,右手的功能受到严重影响,劳动能力严重下降。对于正值壮年的张先生来说,作为家庭的顶梁柱,上有老下有小,挣钱养家是理所当然的责任,但右手功能的缺损却让他无能为力。
经过一段时间的迷茫与挣扎,在爱人的劝导下,“现在的医学技术这么发达,一定有办法重新造出一个大拇指来的”,夫妻二人决定踏上求医之路。经过多方就医、筛寻、比对,张先生终于接触到了一个与他类似的病例——去年3月,北京积水潭医院陈山林团队曾完成了世界首例3D打印技术辅助下再造拇指全长缺损,张先生抱着最后的希望来到积水潭医院。经多次咨询和问诊,张先生最终确定治疗方向。
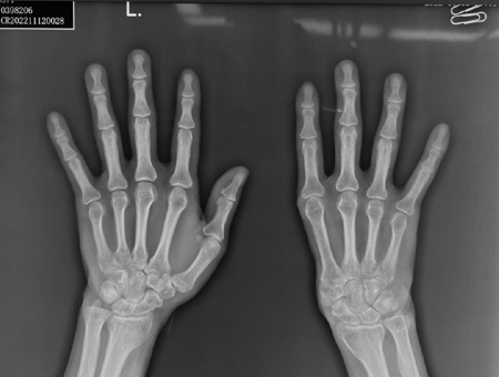
陈山林团队接诊后,经过检查,发现张先生拇指完全缺损,大鱼际部分完全缺损,自大多角骨以远骨关节完全缺损,在分型上属于六度缺损,几乎是最重度的分型了。张先生坚决拒绝从髂骨取骨等其它传统方案,要求利用3D打印技术为他打印掌骨和关节。结合患者要求,经治疗组讨论,陈山林团队决定利用3D打印技术自体结合组织游离移植技术再造第一掌骨系列。
什么是3D打印的拇指再造技术
3D打印技术再造拇指并不是直接打印出一个拇指移植到手上,目前医学还无法达到这一步。这个技术的本质,是将双侧手的影像资料数字化,利用电脑软件将伤侧手缺损的部分在健侧手上标记出来,再通过镜影技术将再造所需的部分生成患侧的形状,用3D打印机打印出金属假体,再与自身组织移植结合,从而再造出所需要的人体部位。对于这个患者,需要打印的成分是第一腕掌关节及第一掌骨。
经过4个月的准备,反复改良设计,陈山林团队终于确定了最终方案。金属假体经3D打印、灭菌、封装,终于可以使用了,张先生也如期住进了医院。
术前讨论集中在两个方案上,第一套方案是分两期治疗,第一期将假体植入,在腹部用带蒂皮管包裹,再造出大鱼际的软组织,第二期再行修饰性踇趾移植再造拇指。此方案的优势在于减少手术风险,其缺点在于患者需多经历一次手术,且再造的大鱼际外观臃肿。第二套方案就是植入人工假体,同时游离皮瓣再造大鱼际软组织,修饰性踇趾移植再造拇指,其优点在于一次手术即可再造出拇指,且外观优于腹部皮管技术,其缺点在于一旦出现无法挽救的血管危象,手术失败对团队和患者的打击都是巨大的。经过与患者反复沟通,患者表示对治疗团队予以充分信任,决定接受第二套,而陈山林团队也带着患者的期待投入了紧张的准备工作中。
漫长的手术及成功的喜悦
为了确保手术成功,手外科组建了最优秀的手术团队,成员包括陈山林教授、薛云皓副主任医师、杨辰主治医师、还有四位来自国内的优秀进修医师,他们是卢育楠、施雄侣、成贝贝、弓贺炜医生。
11月15日上午九点,麻醉成功后手术开始。治疗组分为两个团队,同时进行,一组切取股前外侧皮瓣用以重建大鱼际的软组织,另一组切取足踇趾甲皮瓣用以再造拇指。当组织切取仅残余血管蒂相连后(血管蒂继续营养组织,减少缺血时间)即开始手部操作。切口、显露、游离受区血管、植入人工假体,一切有条不紊地进行。

两个治疗组同时开工
断蒂、移植、显微镜下血管吻合,随着最后一根血管成功吻合完毕,松开止血带后,再造的拇指及大鱼际皮瓣逐渐恢复了血液循环。“成功啦!”手术室所有人都发出一声欢呼,历经12个小时的辛苦,终于成功地再造出了一个几乎以假乱真的拇指。虽然要发挥手的功能还需一系列艰苦的过程,但再造成功无疑是打下了最坚实的基础。
插曲
手术后最大的风险就是血管危象,这种并发症是手术失败的第一危险因素,因此患者置于一级护理的密切观察中。凌晨两点,夜班护士发现游离皮瓣颜色发白,血液循环差,立即将此情况汇报给手术医生,薛云皓医师接到情况汇报后连夜赶到医院,经两个小时的观察处理皮瓣血运仍无缓解的迹象,陈山林教授决定立即急诊探查,尽最大努力去挽救血管危象。万幸的是,到手术室麻醉后皮瓣血运自行缓解了,患者再次安返病房。
术后一周,再造部分血运一直平稳,医生们逐渐放下了一直悬着的心,张先生也逐渐充满了对未来生活的憧憬。
对于这种重度拇指缺损,3D打印技术的优势在于减少对足部供区的损伤、实现更精准的设计以及达到更好的术后效果。北京积水潭医院手外科在陈山林教授的带领下,在世界率先开展3D打印结合自体组织移植再造重度拇指缺损,为该领域的治疗开辟了新的思路。
文图丨手外科
编辑丨靳晓方 于淼


