北京积水潭医院蒋协远教授团队率先采用尺骨截骨内固定术治疗特殊类型肘内翻畸形
2021年3月4日,北京积水潭医院常务副院长蒋协远教授带领团队成功完成世界首例尺骨截骨内固定术治疗特殊类型肘内翻畸形,拓宽了尺骨截骨内固定术的适用范围,为复杂肘内翻患者带来了新的希望。
病例简介
术前体位相
患者是一名16岁女性,正在读高中的她近5个月来却被反复的肘关节疼痛困扰,学习生活受到严重影响。为此,她曾在当地多家医院就医问诊,然而由于病情复杂、特殊,一直未能得到及时诊治。在多位专家的推荐下,她带着最后一丝希望找到了北京积水潭医院蒋协远教授。
在门诊,蒋协远教授经过仔细的查体和影像学检查发现患者左侧肘关节有严重的内翻畸形,并且已经出现了与年龄不相符的关节炎表现,如果不能及时手术纠正力线,患者的疼痛症状将会迅速加剧,治疗也将会更加棘手。经过详细的病史询问,蒋协远教授得知患者在10年前曾因“肘关节内翻后内侧旋转不稳定”行石膏固定治疗,其后发生左侧肘关节感染,经过静脉输注抗生素治疗后症状缓解,但遗留下了肘关节内翻畸形。为了改善患者上肢功能,蒋协远教授将患者收入院进行更加谨慎、细致的术前规划和评估。
术前测量
术前,蒋协远教授带领团队反复进行了影像学测量,敏锐地发现患者的内翻畸形主要来源于尺骨侧,并非常见的肱骨侧,这给团队出了大难题。肘内翻畸形常见于儿童髁上骨折患者,畸形多来源于肱骨侧,通常采用肱骨髁上截骨内固定术治疗。然而该患者畸形来源于关节的内翻和尺骨的畸形,肱骨远端外翻角度正常,采用传统的肱骨髁上截骨无法解决患者的问题。蒋协远教授结合治疗陈旧性孟氏损伤的治疗经验大胆地提出采用尺骨截骨内固定术治疗患者特殊类型的肘内翻畸形。
术中体位相显示肘内翻畸形纠正
经过术前详细的规划、反复的手术流程推演和模拟截骨,治疗团队顺利完成手术,纠正畸形。查晔军副主任医师通过文献检索未发现相同技术的临床报道,该病例为世界首例。
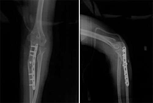
术后肘关节正侧位X线片显示尺骨畸形矫正,内固定位置良好
团队背景
蒋协远教授于1997年在创伤骨科的基础上成立了肘关节组,对各种肘关节损伤和疾病进行了深入细致的研究,对复杂肘关节疾病拥有丰富的认识和治疗体会,带领团队成员公茂琪主任医师、李庭主任医师、查晔军副主任医师等率先开展肘关节松解术、人工全肘关节置换术、三维导航机器人辅助下肘关节旋转中心轴定位等技术,曾顺利完成世界首例肘关节双平面导航机器人手术和三维导航机器人手术,为推进我国肘关节外科发展、改善患者上肢功能做出了不可磨灭的贡献。该团队目前仍致力于复杂肘关节疾病的诊治,努力为患者解决更多的难题。
文丨创伤骨科 孙伟桐



