科室动态
【积医科普】排尿困难?除了前列腺问题,还可能是尿道狭窄
有尿意却尿不出,使出洪荒之力在排尿,您是否出现过这种情况……
当出现排尿困难症状的时候,大部分男性患者会直接想到泌尿系统感染或者前列腺疾病,往往忽略了排尿通道本身的问题
尿道狭窄

男性尿道示意图。1:球部尿道横断面;2:阴茎部尿道横断面。A:阴茎部尿道;B球部尿道;C:膜部尿道;D;前列腺部尿道;E尿道内口
尿道狭窄的主要临床表现:排尿费力,尿线逐渐变细,严重者可出现尿潴留。男性尿道通常根据解剖结构分为4个部分:前列腺部尿道,膜部尿道、球部尿道及阴茎部尿道,不同部位发生狭窄的病因略有差异。
临床上引起尿道狭窄的病因:
1、创伤性尿道狭窄
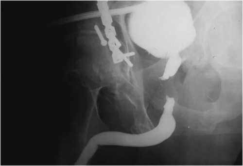
导致球膜部尿道狭窄最常见的原因是创伤性骨盆骨折。当骨盆骨性结构发生骨折或移位时,通常会挤压脆弱的球、膜部尿道,从而使尿道管腔缩小,远期则形成尿道瘢痕。这些患者常常在急诊抢救室试行导尿时,会发现尿管置入困难,同时合并尿道出血,通常需要泌尿外科专科医师行膀胱造瘘术,来解决伤后即时排尿问题。由于病因相对明确,远期则可以根据尿道狭窄的情况决定尿道修复的手术方式。
骨盆骨折导致的创伤性尿道狭窄尿道造影图像
另外一类导致球部尿道狭窄的常见原因是骑跨伤。例如从高处跌落或跨越障碍物时,会使阴部组织与硬物相互撞击,受到瞬时挤压力,从而导致尿道球部软组织损伤发生狭窄,轻则引起尿道出血伴排尿困难,重则引起尿道断裂及会阴部血肿。
2、炎症性尿道狭窄
该尿道狭窄类型的患者临床表现为反反复复的尿路感染,炎症本身会引起尿急、尿频、尿痛、排尿困难等症状。另外,理化因素也是加重感染形成导致尿道狭窄的原因,例如包皮过长、包茎会导致龟头表面皮肤黏膜充血、水肿溃烂,长期刺激可以诱发特异性的皮肤病变——苔藓样硬化甚至鳞癌,这些外在的炎性改变会逐渐侵及尿道外口,使尿道外口狭窄,进一步加重临床症状,严重者会累计整个阴茎部尿道,出现长段的尿道狭窄,后期治疗则依赖口腔粘膜等移植物进行尿道扩大成形术。
3、先天性尿道狭窄
先天性尿道狭窄常常发生在幼儿或青少年,常见于尿道下裂、尿道畸形的患者,狭窄段常常发生在阴茎部尿道,通常因发现较早而行尿道修复手术。但近年来不少文献已报道,部分先天性尿道狭窄的患者在成年以后依然会出现尿道狭窄的改变,这时候可能需要再次就医,评估是否需要再次行尿道扩大成形术。
4、医源性尿道狭窄
随着泌尿外科腔镜技术的发展,经尿道前列腺切除术、经尿道膀胱肿瘤切除术等手术不断增多,也导致了医源性尿道狭窄的发生率逐步升高。
一方面,手术切割前列腺组织本身会带来前列腺部尿道的损伤,大部分患者术后愈合良好,但仍有极少数患者会出现手术区域的瘢痕挛缩,从而导致前列腺部尿道的狭窄。
另一方面,如果操作力度或方法不当,各种内镜手术也会不同程度地造成阴茎部尿道、球部尿道的粘膜损伤,少数患者的尿道也会因瘢痕形成而狭窄。另外,因各种病情或手术需要,有些患者需要留置导尿管,在插入或拔出尿管时可能因患者前列腺增生等特殊因素,出现尿道损伤及感染,进而可能引起尿道狭窄。
由于尿道狭窄的病因复杂,患者表现个体化差异大,临床治疗效果也存在不确定性,部分治疗方式国内外仍在不断革新改进,因此该类疾病也是泌尿外科医师在临床诊疗时的难点之一。北京积水潭医院泌尿外科经过数十年的经验积累,致力于泌尿系统损伤及修复工作,对各种尿道狭窄类型疾病均取得了良好的临床效果,并于2019年被北京医学会授予尿道修复及重建诊疗及会诊中心,在得到业界认可的同时,也受到了就诊患者的广泛好评。
科学就医
北京积水潭医院泌尿外科
目前泌尿外科在新街口院区、回龙观院区、新龙泽院区均设有门诊,如果您被上述问题困扰,欢迎前来就诊咨询。
编辑丨靳晓方 于淼
团队成员
-
李贵忠
职称:主任医师
擅长: 泌尿系统结石、肿瘤综合治疗,腔镜下微创手术及男科疾病。
-
满立波
职称:主任医师
擅长: 擅长膀胱癌、肾癌、前列腺癌根治性手术、泌尿系结石的微创治疗。前列腺增生的微创治疗。复杂泌尿系统损伤的诊治
-
黄广林
职称:主任医师
擅长: 泌尿系常见疾病的诊治,尤其擅长前列腺疾病及尿道狭窄的手术治疗。
-
何峰
职称:主任医师
擅长: 泌尿系结石,前列腺癌,男科疾病,前列腺增生,泌尿系肿瘤。
-
王海东
职称:主任医师
擅长: 腹腔镜微创治疗肾癌,前列腺癌,肾盂输尿管癌,肾上腺肿瘤(醛固酮症,皮质醇症,嗜铬细胞瘤),膀胱癌,泌尿系结石,肾囊肿,精…
-
王海
职称:主任医师
擅长: 泌尿系结石,前列腺增生,尿道损伤,泌尿系肿瘤
-
刘宁
职称:主任医师
擅长: 1 钬激光手术,包括钬激光前列腺剜除手术,钬激光碎石手术,钬激光肿瘤切除术等,曾于日本及广州、浙江、内蒙古等省市进行手术演…
-
王建伟
职称:主任医师
擅长: 尿道狭窄修复与重建,女性泌尿外科(尿失禁),腹腔镜治疗泌尿系肿瘤,前列腺增生及泌尿系结石等微创治疗
-
翟建坡
职称:主任医师
擅长: 泌尿系肿瘤的微创手术(腹腔镜肾癌根治术、输尿管癌根治术、前列腺癌根治术、膀胱癌根治术等);泌尿系结石的微创手术(经皮肾镜…
-
周宁
职称:副主任医师
擅长: 1. 泌尿系肿瘤,特别是肾肿瘤,肾上腺肿瘤,尿路上皮肿瘤(肾盂、输尿管、膀胱肿瘤)以及前列腺恶性肿瘤的微创治疗; 2. 复杂泌尿系…
-
徐啸
职称:副主任医师
擅长: 冲击波治疗慢性前列腺炎、勃起功能障碍及阴茎硬结症等男科疾病;体外冲击波碎石;超声引导下前列腺穿刺术;泌尿系结石的诊治;肾…
-
李玮
职称:副主任医师
擅长: 从事泌尿外科常见疾病的诊断与治疗。擅长泌尿系结石的经皮肾镜超声碎石术、输尿管镜激光碎石术等微创手术治疗;尿路狭窄修复重建…
-
朱晓斐
职称:主治医师
擅长: 泌尿系结石、前列腺增生、泌尿系肿瘤等泌尿外科常见病的诊断和微创手术治疗,掌握了膀胱过度活动症、神经源性膀胱等泌尿外科少见…
-
刘振华
职称:主治医师
擅长: 泌尿系结石的微创手术治疗、泌尿系统肿瘤的综合治疗以及男性尿道重建与修复。
-
尿失禁门诊
职称:副主任医师
擅长: 尿失禁
-
普通号
职称:主治医师
擅长: 泌尿外科疾病



