康复医学科与创伤骨科携手,共同挽救年轻患者肘关节功能

照片上这个文静的姑娘小雅(化名),左手轻托下巴,露出可爱的微笑,任何人看上去,都觉得健康无比。可谁又能想到,2年前小雅左侧的肘关节因为车祸导致的开放性骨折历经了多次手术,并且由于合并脊髓损伤和严重的肘部皮肤烧伤,术后没多久就出现了异位骨化的严重并发症。在寻访到积水潭医院创伤骨科肘关节团队前,她已经经历了14个月的肘关节僵硬状态,生活一度陷入了困境,心情也一度跌入了无尽的黑暗。

小雅的瘢痕皮肤与僵硬的肘关节
2021年8月,我院创伤骨科肘关节团队的公茂琪主任接诊了小雅。公茂琪主任语重心长地为小雅讲解了她所要面临的手术难度:“由于你曾经是开放骨折,肘关节周围皮肤软组织条件又很不好,术后康复训练的难度很高,术后发生感染的可能性也会很高,那样的结局也会是灾难性的,可是你现在的关节角度又实在是太差,你这么年轻,太可惜了……”在经过几天的思考后,小雅坚定地选择相信积水潭医院,相信肘关节团队,在进行了详尽的术前评估后,公茂琪主任主刀为小雅进行了两次肘关节松解手术。手术顺利结束了,术中切除了大量的骨化和瘢痕组织,小雅的肘关节终于出现了期盼已久的活动度。

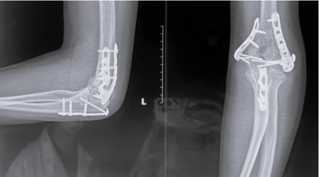
骨化需要松解的X光片
术后,康复医学科积极介入康复治疗。康复医学科的王宇章医生深入病房,一边为小雅做康复训练,一边细心教会她如何进行正确的自我康复,尽全力保住手术效果。同时,临床药学部的药师们积极调整抗感染用药,确保小雅顺利度过危险期。经过多科室的共同努力,小雅在2021年12月5日出院了!

出院后的日子里,小雅继续每日来康复医学科进行康复训练。康复医学科的医生们用自己丰富的经验为小雅量身定制了康复方案。一方面增加支具的使用时间来对抗新的瘢痕形成产生的关节挛缩,一方面利用关节松动等手法来恢复关节的附属活动,另一方面指导小雅主动肌肉参与,维持康复效果,并随时根据小雅的情况调整康复节奏。功夫不负有心人,在康复医学科和小雅的共同的努力下,小雅不仅关节角度进步了,各项化验指标均正产,复查时也没有出现二次骨化。随着康复的进程,小雅肘关节的角度一点点在进步着,稳定着。在康复整整60天的时候,小雅第一次摸到了自己的肩膀,激动地流下了泪水!整个康复治疗室的患者也都为这个顽强的90后姑娘感到高兴!一直到今天,小雅每周依然会定期来康复医学科做训练,并且已经重新回到了工作岗位,重新感受到了生活的美好,生命的美妙!

治疗师为小雅做康复

小雅锻炼的越来越好
大多数老百姓常常被老话讲的“伤筋动骨100天”所影响,认为手术后打上石膏固定几周,等骨头长结实就会好了。实际上,对于关节部位的骨折来说,如果手术后没有及时活动关节,或者错误的活动关节,关节不仅难以恢复灵活,反而会越来越僵硬,导致功能障碍。其中,临床上以创伤后肘关节功能障碍最为常见,治疗也最为困难。这里的原因十分复杂,如异位骨化、软组织挛缩、畸形愈合等等。特别是异位骨化的发生,它是引起肘僵硬的常见原因,尤其是合并了颅脑损伤、脊髓损伤和局部烧伤的患者,会大大增加异位骨化的发生率。上文中的这位患者小雅,就是一位肘关节开放性骨折合并了脊髓损伤、局部烧伤的交通事故所致多发创伤患者,因此无论是手术治疗还是后期的康复治疗,难度巨大。
北京积水潭医院创伤骨科成立于1957年,以诊治四肢骨关节创伤为主要临床任务和研究方向,拥有骨盆髋臼、肘关节、肩关节、腕关节、膝关节、机器人导航、骨感染不愈合、外固定架等十多个国际水平学术专业组。其中肘关节专业组以北京积水潭医院院长蒋协远为学科带头人,从2007年开始摸索肘关节僵硬的手术治疗方法,至今共收治了2000余例肘关节僵硬患者,积累了大量临床资料和手术经验,不论是手术效果还是患者数量均处于国内领导地位。2021年蒋协远院长团队参与主持的项目“创伤后肘关节功能障碍关键治疗技术的建立及临床应用”更是荣获了国家科技进步二等奖。随着近15年来对肘关节僵硬的手术治疗技术的不断提升,越来越多的患者通过此项松解手术再次恢复了肘关节功能,重拾了生活的希望。
北京积水潭医院康复医学科成立于1956年,时至今日已经走过了66年的光辉岁月。目前康复医学科不仅成为了积水潭医院的特色科室,也成为了全国骨科康复同仁进修学习的圣地。康复医学科多年来紧密结合临床需求,与创伤骨科、脊柱外科、手外科、矫形骨科、小儿骨科、运动医学科、足踝外科等重点科室开展密切合作,已形成了一套国内先进、国际知名的骨科康复评估与治疗体系。
在上肢骨折康复中,肘关节骨折后的康复治疗一直是业界公认的难点,不论是骨折后的保守治疗还是手术治疗,肘关节损伤后极易发生异位骨化等并发症而导致肘关节僵硬,最终影响患者功能活动。北京积水潭医院创伤骨科率先开展了国内肘关节僵硬的手术松解治疗后,康复医学科也成立了专门的肘关节治疗组,从术后第一天开始,积极介入康复治疗,全力配合肘关节创伤团队,开展肘关节僵硬松解术后的特色康复治疗。经过十余年的不断探索发展,目前康复医学科已积累了2000余例肘关节松解术后康复治疗经验,年均帮助200例左右的患者进行系统康复训练。在平均3-6个月的康复训练中,患者平均增加了近60°的屈伸活动总范围,增加了30°的旋转活动总范围,帮助患者恢复了肘关节日常功能需求。(下图是肘关节松解术后系统康复3个月的效果)

此外,在针对新鲜肘关节骨折的康复治疗中,康复医学科探索出一套“无痛康复”的治疗理念和康复方法,从肘部软组织所能承受的安全范围作为治疗的主体方案,循序渐进,系统康复,杜绝暴力康复对肘关节的生理损害以及给患者带来的心理伤害。随着口口相传的好口碑,每年有数千例全国各地肘关节骨折后功能不佳的患者慕名而来接受康复治疗,在经过3个月左右的系统康复治疗后,患者都满意离院。

在治愈患者的同时,康复医学科也积极地传播和推广“无痛康复”的治疗理念,特别是将其传授给来院实习的康复系学生和进修的骨科医生和康复医生们。现阶段国内大部分地区的骨科康复治疗理念急需改善,只有从根本上改变对于肘关节僵硬治疗的认知,才能进一步从实践中获得良好的治疗效果,最终帮助患者恢复良好的关节功能,回归家庭回归社会。这也是身为骨科及骨科康复领军者身负的使命与责任。
文图丨康复医学科 王宇章
编辑丨靳晓方 于淼


