【首都除夕 护卫健康】大年初一 消化内科成功抢救放射性结肠炎患者
春节本是阖家团圆的日子,医护人员却选择放弃了与家人团聚的美好时光,依然尽职尽责,全力救治患者,用甘于奉献的职业精神守护着患者的平安健康。
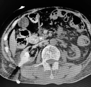
大年初一,北京积水潭医院回龙观院区消化内科病房内,一位慢性腹泻,考虑放射性结肠炎的患者,突发右上腹痛,严重黄疸,CT提示胆总管结石,胆总管扩张,胆囊炎。患者曾患有妇科恶性肿瘤,放化疗后,双肾造瘘,尿毒症透析。在这样的基础病上突发急性梗阻性黄疸,急性胆管炎,病情复杂。复查化验总胆红素达到250umol/L(直接胆150umol/L),其他重要指标也是急转直下,血小板降至三万,PA降至30多……病情危急!

科室经过简短讨论后,决定给予患者引流减黄治疗。虽然不排除存在放射性胆管炎,做ERCP内引流的难度较大,但由于患者血小板及凝血功能均差,经皮经肝的外引流创伤出血风险更大,遂决定还是首先尝试十二指肠镜下内引流。
和家属充分沟通后,内镜中心备班护士贾娟娟从西五环外奔赴而来,与消化内科三线值班医生贾纯增副主任医师一起,成功为患者行经内镜逆行胰胆管造影术和鼻胆管引流术。术后,虚弱萎靡的病人精神逐渐好转。
考虑到患者基础病多,病情重,指标异常严重,近日常规透析耐受性差。消化内科和肾内科史丹主治医师及ICU牛思萌主治医师会诊后,将患者转入ICU病房进一步监护、治疗。
危重患者的抢救离不开各个科室的通力合作,愿每一位患者都能转危为安。
春节期间也是急性消化道出血和急性胰腺炎的高发时期,在此,北京积水潭医院消化内科提醒您:在愉快过节期间,也要注意避免暴饮暴食,过度饮酒,过一个健康春节。
文图丨消化内科
编辑丨靳晓方 于淼
上一篇: 除夕夜,他们为生命“守岁”



