就医指南
医工结合!北京积水潭医院采用完全自主知识产权的内固定完成踝关节炎的踝上截骨保踝治疗
2021年3月10日,北京积水潭医院足踝外科武勇主任团队成功完成了一例内翻型踝关节炎的踝上截骨术。此手术利用了该团队历经近两年时间开发设计的一款具有完全自主知识产权的踝上截骨专用接骨板,为医工结合的临床实践与推广做出了表率和示范。
病例简介
患者张女士,52岁,2年前因双侧踝关节早期关节炎疼痛多次于外地就诊,大部分医生表示暂时没有可处理的办法,只能等关节炎发展到晚期后行踝关节融合,此手术需要牺牲关节的正常活动,患者因此一度心情低落。听闻我院对踝关节炎的病例开展踝上截骨,可以保踝治疗后,抱着一线希望辗转来到我院。经过与其充分沟通,武勇主任对其右踝行踝上截骨术,手术顺利。术后近2年,患者右踝疼痛几乎完全消退,对手术非常满意。因此最近患者再次找到武勇主任,希望对其左踝行同样的手术。
但在此次沟通中,张女士委婉地表达了一点,希望手术疤痕能够小一些。查体时武勇主任也注意到,上次的切口足有12公分。截骨术需要利用接骨板坚强固定矫形后的骨骼,而要植入目前市面上可利用、适合踝上截骨术的钢板的话,8至12公分的切口是难以避免的。长的切口意味着更大的损伤,更慢的恢复,更高的风险和更差的外观。而为了解决上述问题,改善患者疗效,武勇主任带队在过去的两年内通过大量临床数据的分析、力学测量和试验,针对踝上截骨术设计了一款专用的截骨和内固定系统,其成果“用于内侧撑开踝上截骨矫形手术的组配式解剖接骨板”还获得了北京市医管中心、北京市科委和中关村管委会指导下,北京积水潭医院主办的第二届医工结合科技创新大赛二等奖。
在向张女士表示可以利用我们自主研发的踝上截骨专用接骨板,手术切口可以大幅度减小,损伤明显降低后,她露出了期待的笑容。2021年3月10日,武勇主任亲自为患者完成了此手术。
本次手术前,患者双侧踝关节的x片,可见右侧踝关节截骨术后改变,矫正角度良好,左侧为早期轻度内翻型踝关节炎。
本次手术前,患者双踝关节的体位相,可见右侧踝关节前方术后疤痕,大约12公分长,左踝关节明显内翻畸形。
手术开始后,武勇主任根据术前影像学上畸形顶点的测量与截骨规划,在踝关节上方精准定位截骨线入点,然后在透视下定位截骨线出点,利用微创、小损伤技术完成胫骨远端的内侧撑开楔形截骨,根据术前测量的撑开角度与宽度,植入相应大小的3D打印多孔垫块。在反复透视确认截骨效果,力线良好后,微创植入与垫块配套的踝上截骨接骨板,整个手术有序又顺利的完成,因患者要求,我们同时取出了上次手术的对侧踝关节内固定物。
手术过程
本次手术切口仅4公分,术后第二天查房伤口换药,打开敷料的瞬间,患者露出了惊喜的表情,表示出乎意料和非常满意。武勇主任微笑着告诉她,不仅手术切口小,手术也未做任何骨膜下剥离,软组织保护好,截骨也利用无热损伤技术,整个手术损伤极小,患者的愈合应该非常快,今后恢复也应该很不错。听闻此话,患者更是激动和表示感谢。

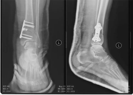
术后第二天,患者踝关节的X片,可见截骨矫形满意,内固定位置满意可靠。

术后第二天换药,患者双踝关节切口外观,患者左侧为本次手术侧。
因发病率不低,对生活、工作影响严重,踝关节骨性关节炎的治疗一直是足踝外科的重点研究方向。作为国内知名的足踝外科专家,科主任武勇教授一直是国内采用人工全踝关节置换手术治疗终末期踝关节骨性关节炎的先行者。而在面对大量的非终末期的关节炎时,如何解决患者痛苦、保留关节功能、使关节炎免于进展到终末期一直是武勇教授及其科研团队所倡导的“踝关节骨性关节炎阶梯治疗理念”想要解决的一大问题。其中的一个重要治疗手段就是踝上截骨手术,但现阶段尚无专门用于该手术的内固定系统,通常需要使用普通骨折内固定系统完成手术,其结果是手术切口相对较长、固定物贴附性不佳、患者术后局部不适感较明显等问题。为解决以上问题,足踝外科科研团队在武勇教授的带领下,两年来通过大量临床资料的分析,针对该手术设计了拥有专利的专用截骨和内固定系统。相信理念的进步,技术的创新能为患者带来更好的疗效。
年轻的足踝外科团队
北京积水潭医院足踝外科的前身是该院创伤骨科于1998年设立的足踝治疗组,2017年9月北京积水潭医院足踝专科门诊开设,2018年3月北京积水潭医院足踝外科正式成立。作为国内足踝领域的带头团队,北京积水潭医院足踝外科在武勇主任带领下对于复杂足踝创伤、创伤后遗症、足踝部畸形矫正、运动损伤及踝关节炎等进行了深入系统的研究,并在保踝治疗、踝关节置换以及创伤后重建等方面处于领先地位。率先在国内开展多种踝关节置换手术,率先开展机器人导航下足踝外科手术,全面和系统地开展踝关节炎阶梯化的治疗。虽然是北京积水潭医院最年轻的骨科科室,成立仅仅三年,但在患者和同行口中,北京积水潭医院足踝外科已经广受赞誉,具有良好的口碑。

图丨足踝外科
团队成员
-
武勇
职称:主任医师
擅长: 治疗四肢骨折、足踝部损伤(骨折,韧带损伤),陈旧骨折畸形矫正,足踝部先天和后天疾病(拇外翻,平足,高弓足,距骨软骨病变,…
-
王岩
职称:主任医师
擅长: 擅长足踝部陈旧创伤及足踝部疾病的治疗。对平足、高弓足、马蹄内翻足、拇外翻、韧带损伤及足踝部关节炎等疾病的治疗具有较深的造…
-
杜辉
职称:主任医师
擅长: 泰勒空间外固定架结合内固定治疗下肢及足踝严重复杂畸形
-
孙宁
职称:主任医师
擅长: 拇外翻、拇外翻手术后遗症,踝关节陈旧性扭伤,距骨坏死,足踝骨折
-
龚晓峰
职称:主任医师
擅长: 踝关节炎的微创保踝治疗、终末期踝关节炎的融合和关节置换手术、跗骨联合微创治疗、新鲜足踝骨折脱位及陈旧骨折畸形矫正、足踝部…
-
李莹
职称:主任医师
擅长: 踝关节韧带损伤,距骨软骨损伤,腓骨肌腱脱位,足部肌腱病,踝关节前后撞击综合征等运动损伤的关节镜微创及传统手术治疗,足踝部…
-
赖良鹏
职称:副主任医师
擅长: 足踝关节炎的截骨保关节和置换治疗,平足和高弓足等先天性、获得性和复杂足踝部畸形矫正,距骨软骨损伤、踝关节韧带损伤。
-
足踝外科普通号
职称:-
擅长:


