• English
当前位置:首页 >> 就医指南 >> 特色门诊 > 正文

北京积水潭医院开设口腔正畸门诊

发布时间:2024-06-24点击数 字体:

错颌畸形,也称错��畸形,是常见的口腔疾病之一,主要表现为牙列拥挤、牙列稀疏、上颌前突、反咬合、深覆合、开颌、偏颌、锁颌、替牙障碍等,影响患者的形象容貌、牙颌功能、身心健康和生存质量。

为更好满足群众对于错颌畸形的就医需求,北京积水潭医院口腔科将于7-8月,在新龙泽院区开设为期两个月的口腔正畸门诊,欢迎大小朋友前来检查咨询。

口腔正畸门诊

01诊疗范围

儿童及青少年早期矫治、咬合诱导。

儿童、青少年及成人固定矫治、隐形矫治。

02出诊时间及地点

正畸门诊(普通)周二全天,新龙泽院区门诊4C3通道

正畸门诊(专家)周五全天,新龙泽院区门诊4C3通道

03挂号方式

患者可通过北京积水潭医院挂号小程序、北京114预约挂号平台进行挂号。挂号时选择北京积水潭医院—新龙泽院区—口腔科—口腔正畸门诊。

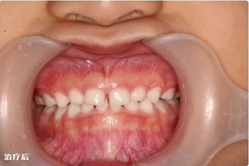
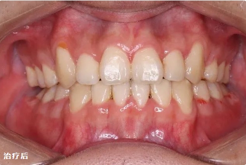
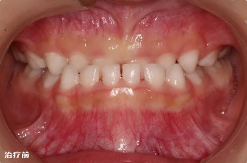
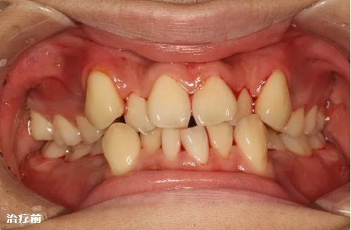
04治疗前后对比

微信截图_20240625082701.png微信截图_20240625082718.png

微信截图_20240625082735.png微信截图_20240625082749.png

供稿丨口腔科 李贺

编发丨宣传中心


上一篇: 北京积水潭医院肠道门诊迎就诊高峰,专家提醒:天热切勿贪凉!

下一篇: “童”享健康,北京积水潭医院儿科门诊服务上新!