精益求精 北京积水潭医院完成首例机器人辅助下人工桡骨远端置换术
11月16日,北京积水潭医院手外科陈山林主任团队成功实施了世界首例机器人辅助下定制化金属3D打印人工桡骨远端置换术。在机器人精确定位导航下,不仅极大地提高了桡骨远端假体置换的精确度,更为进一步提高腕关节假体置换手术的满意度奠定了基础。

患者老刘,曾于去年不幸发生意外,导致其左腕关节桡骨远端粉碎骨折,关节面受累明显,桡骨远端严重塌陷。未经石膏保守治疗,最终桡骨远端发生畸形愈合。拆除石膏后,虽然经过漫长的康复锻炼,但仍留有明显的功能受限,而且关节疼痛难耐,生活质量受到严重影响。
患者听闻北京积水潭医院这里有最先进的治疗手段后,慕名找到陈山林主任就医。经过一些评估检查,同时与团队内薛云皓副主任医师、杨辰主治医师共同商讨后,陈主任认为该患者关节面损毁严重,已经进展至晚期腕关节炎阶段。如果采用传统的桡骨远端截骨矫形治疗,将无法解决关节面问题,术后可能继续残留关节疼痛。经过多次与患者充分沟通交流,最终为患者采取桡骨远端人工关节置换术。

患者桡骨远端畸形愈合
桡骨远端人工关节置换术,是将患者受累的桡骨远端关节面替换为人工材料,经金属3D打印制作,完全定制化匹配患者的关节角度与大小。一次手术不仅改善患者关节角度及桡骨长度,实现传统手术目的,更可同时解决关节面粉碎的问题,减轻患者术后疼痛,改进关节功能。同时,桡骨远端假体的摆放位置与术后功能有极大的关系。陈山林主任团队利用我院先进的机器人手术系统,将假体位置精确摆放,实现和术前规划完美匹配。

陈山林主任医师使用机器人辅助定位假体置入位置

历经3个多小时的手术,患者的桡骨远端被全新的人工假体所代替。同时因采用机器人辅助精准定位,假体摆放位置非常满意,完全实现术前模拟情况。相信经过一段时间的康复锻炼,患者一定能够获得满意结果。

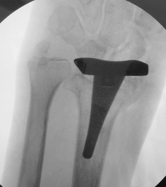
假体置入后术中透视图
团队主要成员刘畅介绍:“目前我们已经完成了两种不同设计的全腕关节假体置换、经腕中关节半腕置换及桡骨远端置换手术,假体设计基本满足了各种腕关节疾患的治疗需求,未来,期待尽早开展多中心临床研究。”
“腕关节假体手术需要精益求精,无论是设计还是实施手术,要求都比较苛刻。通过机器人辅助截骨,可以在满足截骨范围的同时,最大限度保留韧带结构的完整性;机器人辅助下置入导针,可以将假体柄置于最理想的位置,假体的力线和压配都能达到最佳。理论上讲,有望进一步解决腕关节假体存在的问题,优化治疗结果。希望可以进一步推广到各种腕关节置换手术,造福更多患者。” 陈山林主任说。
文图丨手外科 刘畅
编辑丨靳晓方 于淼



