灵感来自港珠澳大桥,骨内壁重建术为股骨残端重建世界难题提供解决方案
张女士14年前曾患有股骨近端骨肉瘤,并进行了左股骨近端切除+左股骨近端肿瘤假体置换术。随着时间的推移,张女士置换后的假体出现了松动下沉,严重影响了生活质量。
在骨关节领域,股骨骨缺损过于广泛而导致的股骨残端如何重建一直是悬而未决的世界难题,很多像张女士这样假体置换多年的患者都面临着同样的困境。
传统术式
既往医院常采用的切除残端并全股骨置换术,必须切除相邻健康的关节,严重损害患者的运动功能,而且假体使用年限有限,是一种不得已而为之的“挽救性术式”。更重要的是,由于骨残端残留骨节段极短,且骨质强度弱,无法为非水泥生物型假体固定提供初始稳定性,残端髓腔内的松质骨多孔结构缺失,骨水泥难以获得交锁固定,无法为骨水泥假体提供足够的固定。因此,术后效果大多不尽人意。
为帮助患者摆脱困境,北京积水潭医院矫形骨科主任周一新教授及其团队经过多年的研究和探索,创造性地提出了用于骨残端重建的“沉管”骨内壁重建技术(Endosteal Reconstruction)。周一新教授介绍:“在研究过程中,我们的团队受到港珠澳大桥建设中采用隧道建设技术的启发,设计并采用3D打印技术制作了类似于隧道预制件的多孔金属圈,同时设计并制作了配套手术工具,并成功用于临床实践,使患者获得了获得满意临床疗效,为股骨残端重建这一世界难题提供了中国的治疗方案。”
典型病例1
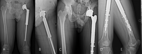
女,45岁,左股骨近端骨肉瘤行左股骨近端切除+左股骨近端肿瘤假体置换术后14年,可见假体松动下沉,采用沉管多孔金属圈(D)重建内壁后,患者目前随访3年余,假体固定良好,断层造影箭头指示处(K)可见多孔金属圈有骨长入,临床效果满意。
典型病例2
男,45岁,左股骨近端组织细胞肉瘤行左股骨近端切除+左股骨近端肿瘤假体置换术后7年,可见假体松动下沉,采用“沉管” 骨内壁重建技术后,患者目前随访2年余,假体固定良好,临床效果满意。
“沉管”骨内壁重建技术通过3D打印的多孔金属圈打入残端骨髓腔内获得初始压配固定,形成类似于松质骨结构的多孔“骨内壁”,为骨水泥假体的固定提供可交锁的多孔结构。而骨水泥-多孔金属圈-假体复合物又进一步为金属圈的骨整合提供了足够的初始稳定性, 经骨长入后多孔金属可以成为永久的“骨内壁”,获得生物学固定。因此该种“沉管” 骨内壁重建技术是一种同时构建骨水泥固定和生物学固定的混合固定(hybrid fixation)技术。
▲混合固定示意图,C1为骨水泥假体,C2为骨水泥层,C3为多孔金属圈的实心层,C2和C3之间示意有骨水泥渗入金属圈多孔层,C4示意骨小梁长入金属圈的多孔层获得生物固定,C5为皮质骨髓腔面 (引自文献:Huang Y, Zhou Y, Shao H, Yang D, Tang H, Guo S. A Novel Endosteal Reconstruction of the Femur from Distal Femoral Remnant Using 3D-Printed Titanium Rings: A Two-Case Report. JBJS Case Connect. 2021 Aug 27;11(3). doi: 10.2106/JBJS.CC.20.01038. PMID: 34449452.)。
“沉管”骨内壁重建术有效解决了骨残端重建问题,使众多患者避免了健康邻近关节的切除,最大限度地保留了关节功能。周一新教授团队就是运用这项技术,为张女士进行了沉管多孔金属圈重建内壁,手术非常成功。术后随访3年,假体固定良好,张女士现在每天都进行健身锻炼,恢复了正常的生活。
同时,周一新教授团队也将此项技术发表于骨科权威期刊JBJS Am,文章是一篇题目为“A Novel Endosteal Reconstruction of the Femur from Distal Femoral Remnant Using 3D-Printed Titanium Rings-A Two-Case Report”的病例报道,矫形骨科黄勇医师为该论文第一作者。本文详细介绍了“沉管”骨内壁重建技术以及相应的临床疗效。尽管该论文仅报道了术后经2-3年随访的2个典型病例,但是周一新团队已施行此类手术10余例,目前所有患者术后随访效果均满意。
▲发表在JBJS case connector 的病例报道文章首页截图
论文作者简介
黄勇,男,住院医师,2021年获得国家自然科学基金青年项目资助1项,2019年获得院级基金“自然基金培育计划”项目资助1项。以第一作者发表英文论文4篇,中文核心期刊2篇。近5年主要从事人工髋关节翻修术中股骨和髋臼严重骨缺损的临床、影像与生物力学研究,在导师周一新教授的指导下,揭示了人工髋关节翻修术后股骨假体周围骨重塑的规律,为新的假体设计与植入技术提供了理论依据,相关研究成果在研究成果在骨科高水平杂志JBJS Am及关节外科杂志JOA上各发表SCI文章1篇,他引次数共27次。获批实用新型专利4项,获2020年北京市科学技术进步一等奖,BMC Muscloskeletal Disorders杂志审稿人。
周一新,男,北京积水潭医院矫形骨科行政主任,主任医师,北京大学医学部教授,博士生导师。曾获国家科学技术进步奖二等奖,2020年度北京市科技进步奖一等奖,入选北京市高层次卫生人才215工程、北京市百千万人才工程市级人选、北京市科技新星、北京市医院管理中心“登峰”计划。并担任International Hip Society (IHS) 委员,International Congress of Joint Replacement国际委员,International Society of Technology of Arthroplasty (ISTA)董事,SICOT骨与关节感染委员会创始委员,老年医学会骨与关节分会关节学组组长,北京医学会骨科分会关节学组副组长,中国康复医学会骨与关节委员会副主任委员,中华医学会骨科学会分会关节外科学组膝关节外科工作委员会创始委员。
周一新在人工关节重建理论、技术、植入物、植入工具方面均有建树。提出了外翻膝关节的积水潭分型,是Emphasy髋关节系统、Anthem膝关节系统、ABM髋关节翻修系统的植入物的主要设计者之一。
致力于将量化分析与数学决策引入髋膝关节重建手术,创立了统一“膝关节间隙平衡-下肢力线-关节内应力”的GAF膝关节重建理论,并设计了用于手术方案决策与为手术机器人确定目标值的”膝关节置换术求解器”(TKA Solver)。揭示了统治髋关节置换领域40余年的Lewinneck安全区不能成立之数学原理,将“患者个性化安全区”概念引入髋关节置换术,并发表了相应算法。
在人工关节的失败机制及重建方案上进行了系列研究,创立了 “圈-点-柱”的髋臼重建理论与股骨假体有效固定长度理论,延伸固定技术,并设计有相应假体和置入工具。显著提升了髋关节翻术的疗效和手术效率。同时,周一新教授团队也是世界上率先将机器人辅助手术运用于人工髋关节翻修术的术者。
近年来,周一新教授团队在人工关节领域发表论文200余篇,其中SCI论文60余篇,逾20篇发表于JBJS(Am)、BJJ、CORR、JOA等骨科及关节外科顶级杂志。获得国家发明专利9项,实用新型专利 20余项,承担国家级及省部级课题10余项。主编专著7部。
文丨矫形骨科 邓旺
编辑丨靳晓方 于淼
校对丨于淼
上一篇: 京医通/2021.09.01/1个动作判断手腕腱鞘炎!医生教你4个方法摆脱它~
下一篇: 科学愉快踢球 远离伤病困扰



