【医疗新技术】北京积水潭医院心内科成功开展准分子激光辅助冠脉桥血管开通
冠状动脉搭桥治疗是用于治疗冠状动脉三支病变或左主干病变的开胸手术,在临床上广泛应用。和我们平常所说的微创的介入治疗开通血管不同,搭桥治疗通常采用自身的大隐静脉和乳内动脉将主动脉和病变远端的正常血管段连接起来,是一种绕道手术。除了需要开胸手术创伤和手术风险比较大外,搭桥手术的另一个弊端就是静脉桥血管在10年左右会出现退行性变而导致桥血管阻塞引发病人出现心绞痛等症状,再次外科手术风险大,桥血管由于退行性变富含大量血栓,介入手术风险高,很多具有介入能力的医院遇到此类病变也望而却步。近日,北京积水潭医院心内科成功开展准分子激光辅助下闭塞大隐静脉桥吻合口闭塞的介入开通治疗,为此类患者提供更为微创,安全的介入治疗手段。
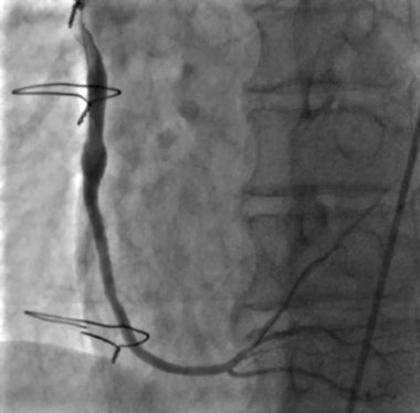
75岁的李先生在20年前行冠状动脉搭桥手术,撘了3根桥。近2年反复胸闷胸痛发作,最近3月症状加重,快走或上楼后就会出现明显的胸痛伴背痛,就诊于我院心内科。行冠状动脉造影检查,可以看到冠状动脉原有的三根血管前降支,回旋支,右冠状动脉均有弥漫性的狭窄阻塞:右冠状动脉远端闭塞,前降支的乳内动脉桥,回旋支的大隐静脉桥血管通畅,但右冠状动脉桥血管远端吻合口闭塞且伴有血栓形成,可见右冠桥血管内明显的造影剂滞留。

通常此类病变由于桥血管手术血栓阻塞风险较高,可以选择开通原位的右冠状动脉,但是患者的右冠状动脉病变从开口就弥漫性狭窄,且远端闭塞,所以不但介入治疗难度高,远期效果差,团队决定在充分的抗血栓治疗后对右冠状动脉的大隐静脉桥血管进行介入治疗。
经过充分的准备,在心内科主任刘巍教授的指导下,介入经验丰富的术者心内科主范军任医师和助手兰永昊医生对静脉桥血管进行介入治疗。考虑桥血管病变的特殊性,尤其是静脉桥血管,盲目扩张很容易导致更严重的并发症出现。仅从造影来看,无法完全明确桥血管内病变性质特点,在导丝通过闭塞血管段后,使用血管内超声进行检查可见到,桥血管远端吻合口部位为纤维组织增生为主,桥血管内无明显血栓。然而球囊扩张吻合口时由于病变坚硬,多次出现球囊滑脱难以扩张成功,刘巍与范军根据病变特点,决定在准分子激光对桥血管进行充分消蚀的基础上,再次扩张血管。激光消蚀后,血流明显改善,狭窄程度也有减轻,之后再次使用球囊扩张可见扩张效果非常满意,基本无残余狭窄,植入药物球囊,未植入支架,最终效果非常满意。
刘巍指出,桥血管病变具有特殊性,尤其是静脉桥血管,在扩张时极易导致斑块脱落从而引起无复流的表现。一些合并血栓的桥血管病变,常规的手术方式极易出现慢血流无复流等并发症。准分子激光手术是近些年在国内外开展的用于此类病变非常有前景的治疗方法。
激光治疗动脉粥样硬化始于1980年。初期并发症特别是冠脉穿孔发生率较高,费用昂贵,技术未完全推广。随着导管技术的改进、安全激光消蚀技法的引入,临床效果和安全性得到明显改善。最新一代准分子激光导管的穿透深度与波长直接相关,采用紫外线UV激光(更短的波长308 nm),拥有更浅的穿透深度(<50μm)、释放更小的热量以及更少的不必要的组织损伤,确保安全性。
准分子激光消蚀术(ELCA)适用于:复杂性日益增加的冠状动脉介入手术,可以用于处理血栓病变、中度钙化病变、慢性完全闭塞性病变、球囊难以通过、球囊难以扩张、桥血管病变减容、血栓病变、支架内再狭窄 (减容并平整病变,便于药物球囊有效释放贴壁)病变等。
北京积水潭医院心内科主任刘巍是国内最早开展准分子激光治疗复杂冠状动脉病变的术者之一,也率先开展了准分子激光开通静脉桥血管治疗,并积极在国内进行推广,也在国内外进行学术交流,具有一定影响力,在刘巍的带领下,北京积水潭心内科不断采用最新的技术手段,帮助患者解决燃眉之急,为合并有复杂病变的患者带来了福音。
文图丨心内科
编辑丨靳晓方 于淼
上一篇: 66年风雨同舟 继往开来 再创辉煌


