【医患一家】主动脉夹层命悬一线,多学科协作抢救成功
1月15日傍晚时分,50岁患者老李突发胸背部疼痛,来到积水潭医院新龙泽院区急诊。血管外科程志远副主任医师与急诊科医生共同会诊,怀疑病人发生了主动脉夹层。
主动脉夹层是指主动脉腔内的血液从主动脉内膜撕裂口进入主动脉壁内,使主动脉壁中层形成夹层血肿,并沿主动脉纵轴扩展的一种心血管系统的灾难性疾病。由于内膜局部撕裂,受到强有力的血液冲击,内膜逐步剥离、扩展,在动脉内形成真假两腔,从而导致一系列包括撕裂样疼痛的表现。研究显示,急性主动脉夹层若未能得到及时有效的治疗,24小时死亡率为50%,发病后一周死亡率接近68%。
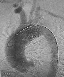
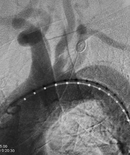
病人命悬一线,夹层随时都有破裂的危险!由于主动脉夹层的确诊需要做动脉增强CT,联系急诊放射科后,放射科医生及技术人员克服困难顺利地进行了主动脉CTA检查并做出了准确的三维重建,为后续治疗提供了有利的帮助。明确诊断后主治团队认为夹层明确,患者风险较大,需立即行主动脉夹层微创腔内修复术。血管外科医生一边和患者及家属交代病情、谈话签字,一边通知导管室人员到位。整个术前准备都在有条不紊地进行中。

午夜十二点,手术开始,由血管外科贾伟、蒋鹏、程志远三位高年资大夫组成手术团队。介入下,清楚看到患者主动脉破口紧邻左侧锁骨下动脉,如果按照常规手术方案治疗虽然可以挽救病人生命,但必然导致左侧锁骨下动脉闭塞而使左上肢缺血,术中贾伟副主任医师当机立断,决定采用非常规的手术方案:原位体外开窗、保留左锁骨下动脉。虽然手术难度增加了数倍,但是左锁骨下动脉的血流成功保留对病人的意义重大。手术耗时1个多小时顺利结束,凌晨一点半病人转入ICU病房,目前各项生命体征平稳。
我院血管外科专业建立20余年来,对于各种主动脉夹层以及常见血管疾病的诊疗,积累了丰富的经验。新龙泽院区急诊的运行,为京北地区急诊救治服务的提升,以及回天地区居民医疗条件的改善贡献了重要力量,血管外科也将不遗余力地为患者的血管健康保驾护航。
文图丨血管外科
编辑丨靳晓方 于淼
上一篇: 超声科联合普外科为冠心病合并肝癌患者完成射频消融治疗
下一篇: 医警接力紧急施救,失联患者转危为安


