全国首例!3D打印定制钢板助70岁患者重建股骨远端
经历不到1小时的轻松手术,北京积水潭医院副院长吴新宝与创伤骨科赵春鹏、曹奇勇等专家齐心协力,成功完成了全国首例使用“3D打印定制化钢板”进行股骨远端粉碎性骨折复位内固定手术。
3D打印精准医学应用于复杂骨折重建,不仅填补了国内骨科创伤领域的技术空白,同时标志着我国在复杂骨折复位内固定手术技术方面又上了一个新台阶。这也是施行《定制式医疗器械监督管理规定(试行)》后,北京积水潭医院完成的首台经定制化备案的定制化手术,这也意味着北京积水潭医院定制化手术正式纳入规范化的管理。
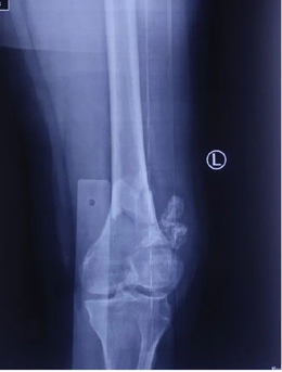
患者是一位高龄女性,因一次滑倒意外致左膝关节受伤,由此导致左股骨远端骨质疏松性骨折,伤后来到积水潭医院创伤骨科住院治疗。


吴新宝团队对患者检查后发现患者系典型老年骨质疏松性骨折,膝关节周围有明显老年退行性改变;股骨远端大量骨性增生导致骨折部位解剖形态与青壮年成人有明显差异,股骨前弓明显增大;同时老年患者骨愈合能力下降,容易发生骨折不愈合,内固定物失效等并发症。如何更好地解决老年骨质疏松性骨折这一临床问题,降低手术并发症是骨科医生面临的一个临床挑战。
经过吴新宝团队对患者病情进行综合分析,拟采用当前骨科治疗前沿的3D打印技术,为患者定制个性化内固定接骨板进行骨折内固定治疗。利用爱康医疗的医工交互系统,爱康医疗研发工程师团队与吴新宝团队紧密互动,根据患者患肢影像资料,专门设计了个性化定制的解剖型股骨钢板。
首先,该定制化接骨板使用创新设计,其骨接触面模仿人工关节的表面设计,为类骨小梁微孔设计,有利于接骨板和骨骼之间产生骨长入,大大增加接骨板系统对骨折部位的稳定功能。该设计特别针对老年骨质疏松患者骨折愈合慢、内固定容易松动失效的特点,增加了传统内固定物所不具备的临床优势。
其次,定制化接骨板的形态设计是以患者的个人CT数据为参考,完全根据患者个人的解剖形态而打印制造,与患者股骨远端解剖形态完全一致,便于手术中骨折的复位固定; 另外接骨板钉孔设计参考了骨折端的解剖形态和生物力学特点,骨折端的接骨板形态得到了强化设计,并同时计算了手术中所需螺钉的长度,实现了精准化置钉功能,简化了手术操作。


吴新宝团队术前详细规划,反复推演手术流程。2021年9月27日,在短短不到1小时的时间内,手术团队按照手术设计顺利完成了骨折的复位固定。术中影像显示,骨折解剖复位,定制钢板位置得当,螺钉位置理想,完美实现了术前规划的手术目标。




术后患者已开始行走锻炼
老年骨折患者由于骨折部位骨质疏松,因而大多愈合迟缓,且折端解剖形态变化大,尤其是对于发生于人工关节周围的假体周围骨折患者来说,骨折的良好复位、坚强固定是骨折愈合、恢复患肢功能的前提条件。而带有类骨小梁微孔结构面的接骨板系统可以附加传统接骨板所没有的接骨板与骨折部位骨质产生骨长入的新功能,能更好地稳定骨折端,防止内固定物失效,创造骨折愈合的稳定力学环境,加速患肢功能的恢复。同时,对于骨折部位解剖形态异常的患者,常规的接骨板无法对骨折部位结构实现完美的解剖贴附,通过定制化的假体的使用,实现便捷的骨折复位、术后异物感降低、骨折固定更为牢靠。
“3D打印定制化手术技术”已经成为针对特定患者人群的有效治疗手段之一,能大大减少因传统治疗方法的不足产生的并发症,为患者提供更有效的临床治疗效果。”
编辑丨靳晓方 于淼