【积医科普】血管通路小组在行动——保卫血液透析患者“生命线”(十)
多数尿毒症患者依赖血液透析维持生命,而血液透析治疗的开展必须依赖一个有效的血管通路,因此对于血液透析患者而言,血管通路就等于“生命线”,保护好“生命线”直接关系到患者能否得到有效的透析治疗。北京积水潭医院肾内科血管通路医护小组推出系列健康科普——保卫血液透析患者的“生命线”。

很多血液透析患者会发现,使用多年的内瘘血管多数崎岖不平,逐渐出现各种各样的鼓包,有的越来越大,甚至看着似乎随时可能破裂出血,既影响美观,也影响内瘘血管的功能。本期我们就来讲讲这些”鼓包”——血管瘤样扩张。
“鼓包”的形成原因
① 长期的区域穿刺,导致局部血管壁变薄,在血流压力作用下逐渐形成血管瘤。

典型内瘘血管瘤样扩张表现
② 内瘘局部狭窄或中心静脉狭窄,导致狭窄处以下血管内压力过大,形成血管瘤。

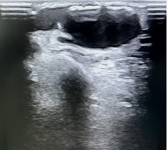
超声提示动脉瘤前瓣膜阻挡
“鼓包“”的危害
① 血栓形成:在鼓包内血液流向变化形成涡流,易继发血栓形成。
② 感染:血管瘤局部膨大,导致皮肤变薄,皮肤抗感染的能力下降,容易导致内瘘感染。
③ 血管瘤破裂出血:外力碰破血管瘤处皮肤组织会造成大出血,危及生命。
④ 影响美观,加重患者心理负担。
什么样的“鼓包”需要处理,如何处理
如果血管瘤短期内快速增大、壁薄且伴有搏动、感染、血栓等情况时,需要立刻处理。
如何预防“鼓包”形成
① 避免区域穿刺,提前规划穿刺路径(图3),采用“绳梯法”穿刺(图4)。
② 定期规律复查超声,如发现内瘘狭窄及时处理(开放手术或血管介入治疗)。

新龙泽院区 内科诊区 每周一下午
文丨肾内科 付晨
图丨肾内科 付晨 沈洋洋
编辑丨靳晓方 于淼



