科室动态
【医学人文】北京积水潭医院蒋协远团队通过定制反肩假体结合异体骨(APC)术式为患者解除15年病痛
近日,北京积水潭医院蒋协远教授团队完成了一例定制反肩假体结合异体骨(APC)的复杂手术,为一名52岁的肩关节骨缺损患者解除了长达15年的病痛。
2007年(15年前)
患者还是甘肃一名37岁的青壮年男性,因外伤致肱骨近端骨折,在当地手术内固定治疗。术后很不幸地出现了内固定失效。此后,该患者经历了内固定失效后全肩关节置换、感染后扩创、肩胛盂骨性重建、APC手术,15年多次手术这样一个复杂痛苦的历程。
2009年
因骨折不愈合、内固定失效,患者在当地行全肩关节置换术,术后10天出现伤口愈合欠佳,渗液较多,经换药、抗炎治疗好转后出院。后反复出现伤口窦道形成,都经换药后愈合,但肩关节功能欠佳。

2018年3月
患者原伤口远端再次出现水泡,并破溃流脓,当地局部穿刺抽液送培养,结果阴性。因伤口反复破溃,已经经历十余年病痛的患者,为进一步治疗,找到北京积水潭医院创伤骨科蒋协远教授团队寻求治疗方案。
蒋协远教授带领团队黄强主任医师、查晔军副主任医师、公茂琪主任医师等对患者的治疗方案进行反复讨论和沟通,决定进行分期分次手术。
2018年5月
首先行假体取出、扩创控制感染,后期再行反肩关节置换。完善相关检查后,于2018年5月手术,扩创取出原假体,抗生素骨水泥植入。术中最大的难点在于肱骨侧假体、骨水泥及髓腔塞取出困难,而任何残留都可能会造成感染复发,术中采用肱骨干纵行劈开方式将假体、骨水泥和髓腔塞全部取出,并用钢丝捆扎修复,而肩胛盂侧的假体取出则较为顺利,但患者大小结节均已移位,肩袖组织完全挛缩。术后培养为表皮葡萄球菌,通过抗生素治疗,患者的感染顺利控制。
2021年5月
定期复查炎症指标,感染控制良好,但患者功能差,虽然带spacer无疼痛,但越来越觉得肩关节不舒服,同时想改善功能。2021年5月,患者再次回到北京积水潭医院,寻求反肩治疗改善功能。但此时患者肱骨近端大节段骨缺损、大小结节移位、肩袖组织挛缩、肩盂骨缺损严重,这种骨性状态对于反肩治疗难度很大,肩盂侧假体也无法安放与把持、现有肱骨侧假体长度不足、近端无骨性结构保护。蒋协远教授与黄强主任医师、查晔军副主任医师等讨论后,决定先为患者实行肩胛盂重建手术,并设计定制相关假体,为后期置换做准备。
术后患者复查CT,见肩胛盂骨性重建良好。但为解决现有假体长度不足的问题,此次术后,蒋协远教授、黄强主任医师就带领团队医生与工程师团队进行了反复沟通,开始设计并定制合适的反肩假体。按健侧长度计算,肱骨近端骨缺损约8厘米,起初还在肿瘤型假体和APC方式间反复讨论,最后决定采用定制反肩假体结合异体骨(APC)的方式进行处理,同时还定制了相应长度的异体骨,以更好地恢复上肢长度和三角肌张力。
2022年8月18日
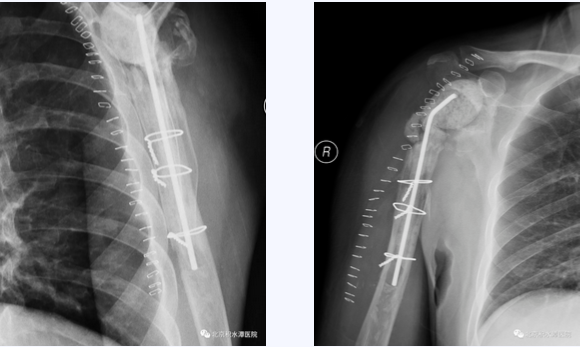
患者再次回到北京积水潭医院,蒋协远教授带领黄强主任医师和查晔军副主任医师、公茂琪主任医师等为患者进行了APC反肩置换手术治疗。术中见肩胛盂骨性结构重建良好,取出螺钉,顺利安装肩盂侧反球假体。并反复通过测量和软组织张力判断,确定了异体骨长度,安装肱骨侧假体后,以异体骨板捆扎保护,手术过程顺利,拍片见肩关节假体位置满意。

院长蒋协远教授(右)、黄强主任医师(中)和查晔军副主任医师(左)为患者手术
2022年8月25日
术后为预防感染,仍进行正规抗生素治疗,患者伤口愈合良好,于2022年8月25日顺利出院,目前处于制动状态,待一个月后开始功能康复。
患者从37岁初次受伤到如今52岁,经历了15年的病痛,但是在北京积水潭医院4年3次的手术中,与治疗团队成员结下了深厚的友情,彼此间建立了充分的信任。他十分感谢北京积水潭医院蒋协远教授和黄强主任带领的肩关节创伤团队,并感叹:“只有顶级的医院最好的团队才能治好这么复杂的病,让我重获新生!”
文图丨创伤骨科
编辑丨靳晓方 于淼
上一篇: 骨科手术机器人守护生命之光
团队成员
-
蒋协远
职称:主任医师
擅长: 肘部骨折,肘僵硬与畸形,四肢骨折
-
公茂琪
职称:主任医师
擅长: 上肢及肘关节骨折、多发骨折
-
朱仕文
职称:主任医师
擅长: 骨盆、髋臼及四肢复杂骨折、骨折不愈合
-
李庭
职称:主任医师
擅长: 肘关节损伤,踝关节骨折,胫骨平台骨折,及其他复杂关节内骨折
-
吴新宝
职称:主任医师
擅长: 四肢骨与关节的损伤,尤其是骨盆和髋臼损伤
-
刘亚波
职称:主任医师
擅长: 髋部、膝部骨折,关节置换,骨折不愈合、畸形愈合
-
孙林
职称:主任医师
擅长: 骨折不愈合和畸形愈合;关节内骨折;股骨颈骨折;股骨粗隆间和粗隆下骨折
-
张力丹
职称:主任医师
擅长: 肘关节、膝关节骨折
-
黄强
职称:主任医师
擅长: 肩关节周围创伤及骨折、多发创伤、陈旧骨折
-
张国柱
职称:主任医师
擅长: 骨盆髋臼骨折,足踝部损伤,肩关节骨折,陈旧骨折及感染
-
王军强
职称:主任医师
擅长: 四肢及关节内骨折、骨盆髋臼骨折等高能量损伤的微创治疗
-
毛玉江
职称:主任医师
擅长: 四肢骨与关节损伤,各种复杂骨折,骨不愈合及畸形愈合,关节功能障碍。胫骨平台骨折、股骨颈骨折及股骨头缺血坏死诊治
-
刘兴华
职称:主任医师
擅长: 手术治疗四肢骨折,关节周围骨折以及并发症,尤其是肘关节术后活动受限
-
曹奇勇
职称:主任医师
擅长: 骨盆、髋臼、髋部骨折,及四肢骨折与不愈合
-
杨明辉
职称:主任医师
擅长: 骨盆及四肢创伤,尤其是骨盆髋臼骨折、老年髋部骨折、足踝部创伤、陈旧性损伤、骨感染骨髓炎等疾病的诊断与治疗。
-
韩巍
职称:主任医师
擅长: 1.熟练掌握创伤骨科各病种的规范化诊断及治疗、包括四肢及骨盆髋臼骨折的微创治疗技术以及复杂骨折的开放手术治疗。2.骨科智能装…
-
赵春鹏
职称:主任医师
擅长: 髋臼骨盆骨折的常规治疗和微创手术治疗、四肢关节骨折,畸形的治疗
-
查晔军
职称:主任医师
擅长: 四肢骨与关节损伤,特别是上肢与肘关节创伤和疾患的诊治
-
李宇能
职称:主任医师
擅长: 年龄大于14岁的四肢复杂骨折治疗,骨折的微创治疗,尤其是骨盆及髋臼骨折的治疗,创伤后肢体重建与陈旧骨折的治疗。
-
王金辉
职称:主任医师
擅长: 骨盆、髋臼,髋部骨折,四肢骨折,骨折不愈合等合并症与复杂足踝部骨折的诊治
-
李宁
职称:主任医师
擅长: 成人四肢与骨盆骨折的经典及微创治疗,骨折不愈合、畸形愈合、功能障碍等骨折后遗症的处理,尤其是髋关节周围骨折及骨折并发症、…
-
安贵生
职称:副主任医师
擅长: 桡骨远端骨折
-
张权
职称:副主任医师
擅长: 四肢骨折、多发骨折
-
赵刚
职称:副主任医师
擅长: 四肢和关节内骨折、全髋关节置换和翻修、骨髓炎、肢体延长、外固定
-
刘国会
职称:副主任医师
擅长: 下肢骨折,尤其膝关节周围骨折
-
刘洪波
职称:副主任医师
擅长: 四肢与关节内骨折、骨盆髋臼骨折、髋部骨折、足踝骨折、关节骨折等疾病
-
苏永刚
职称:副主任医师
擅长: 骨盆、髋臼及四肢复杂骨折的相关治疗
-
杨胜松
职称:副主任医师
擅长: 下肢畸形(包括O形腿,X形腿或者顺风腿),长短腿,马蹄内翻足畸形,骨髓炎,髋膝踝关节创伤性关节炎,外固定架微创手术,人工全…
-
滕星
职称:副主任医师
擅长: 四肢骨和关节复杂创伤及并发症的治疗,包括骨不连,骨折不愈合,骨折畸形愈合及发育性畸形,创伤后及发育性的四肢关节僵硬、挛缩…
-
李卫华
职称:副主任医师
擅长: 多发创伤、陈旧骨折、关节周围骨折和膝关节、足踝复杂骨折脱位
-
汤文杰
职称:副主任医师
擅长: 腕关节骨折,四肢及骨盆骨折,复杂关节内骨折,骨不愈合及畸形愈合
-
张健
职称:副主任医师
擅长: 骨盆髋臼骨折、四肢骨折与关节损伤
-
张玉富
职称:副主任医师
擅长: 肩肘关节骨折,四肢骨与关节损伤,骨不愈合及畸形愈合
-
李绍良
职称:副主任医师
擅长: 四肢骨与关节骨折脱位,骨盆髋臼骨折。擅长肩关节骨折,肘关节骨折脱位,腕关节骨折,桡骨远端骨折,髋部骨折,足踝部骨折脱位,…
-
周力
职称:副主任医师
擅长: 四肢骨与关节损伤,复杂关节内骨折,骨盆髋臼骨折,骨折不愈合及畸形愈合,关节功能障碍。尤其擅长髋部骨折及其并发症的治疗
-
孙旭
职称:副主任医师
擅长: 擅长骨盆、髋臼骨折、四肢长骨及关节内骨折的诊疗及微创治疗,骨折及内固定相关感染、骨折不愈合的治疗,骨折及冰雪户外运动损伤…
-
吴宏华
职称:副主任医师
擅长: 四肢关节骨折的外科治疗,尤其是对骨盆髋臼骨折的外科治疗有丰富的临床经验
-
米萌
职称:副主任医师
擅长: 复杂肩关节骨折、老年髋部骨折及其它复杂骨与关节骨折治疗
-
王陶
职称:副主任医师
擅长: 复杂关节骨折 骨运输 肢体功能重建
-
陈辰
职称:副主任医师
擅长: 四肢与骨盆髋臼骨折,骨折后不愈合等并发症。除常见四肢骨折外,擅长上肢、肩、肘、腕关节急性及陈旧性骨折脱位。肩关节置换、全…
-
孙志坚
职称:副主任医师
擅长: 膝关节周围骨折(胫骨平台骨折、股骨髁间/髁上骨折、Hoffa骨折等)、骨盆与髋臼骨折、髋关节周围骨折、骨折不愈合或延迟愈合,其…
-
肖鸿鹄
职称:副主任医师
擅长: 骨盆及髋臼的微创手术治疗,老年髋部骨折手术治疗,运用手术机器人技术开展的个性化手术治疗
-
顾航宇
职称:副主任医师
擅长: 擅长膝关节及踝关节周围骨折,成人四肢骨折微创手术及下肢关节置换等
-
刘刚
职称:副主任医师
擅长: 骨盆及四肢骨折,尤其是髋部骨折、骨盆髋臼骨折、假体周围骨折,各类复杂陈旧骨折,骨折不愈合的诊断与治疗。
-
李波
职称:副主任医师
擅长: 四肢与骨盆髋臼骨折,骨折微创治疗,老年髋部骨折,膝关节与踝关节周围骨折,骨折不愈合的治疗。
-
卢帅
职称:副研究员
擅长:
-
创伤骨科普通号
职称:-
擅长:
-
创伤骨科普通号
职称:主治医师
擅长: 四肢骨折
-
创伤骨科复查号
职称:
擅长: 骨折复查


