手及上肢先天畸形
手及上肢先天畸形
手及上肢先天畸形是人类常见病,发生率为新生儿的1‰左右。在人体先天性畸形中,肢体畸形占26%。北京积水潭医院手外科每年进行手及上肢先天畸形手术400例左右,包括常见的并指、多指、多发关节挛缩、拇指发育不良、环形束带综合征和分裂手畸形等。
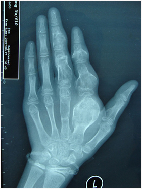
尤其对于少见的畸形,如巨肢/指、桡侧纵裂缺如、Poland综合征、镜影手畸形、Madelung畸形、Apert综合征及Ollier病等也具有丰富的治疗经验。目前,手及上肢先天畸形的治疗水平及手术数量在国内均处于领先水平。



mirror hand




Ollier病-术前

Ollier病-术后

蟹钳样复拇-术前






