骨与关节
再次创新!北京积水潭医院采用定制化3D打印技术成功为重度拇指缺损患者重建第一掌骨和腕掌关节
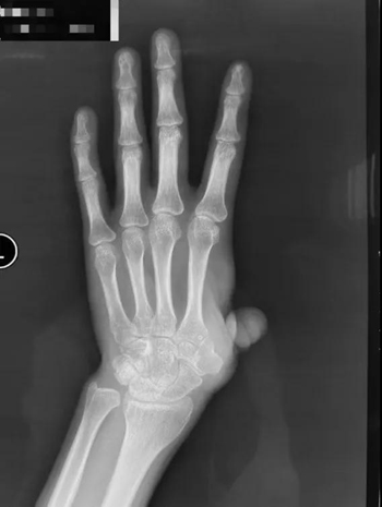
3月5日,北京积水潭医院手外科陈山林专家团队经过10小时的精细显微操作,成功完成了全球首例“定制化3D 打印掌骨联合改良踇甲瓣技术再造可活动腕掌关节的拇指”手术。这是北京积水潭医院手外科继定制化3D打印腕关节假体后,再一次利用3D打印技术为患者完成高难度手术。该手术不仅扩展了3D打印技术的应用场景,更是攻克了为再造重度拇指缺损的同时重建腕掌关节的这一技术难题,达到了世界再造拇指的领先水平。
患者因机器伤导致左手拇指在掌骨水平近端离断,在外院进行了再植术,但术后手指存活情况欠佳,随后又做了游离踇甲瓣再造拇指,骨水泥置入等多次手术,但都没有成功保指。目前患者的左手拇指仅残留部分冗余皮肤,无掌骨,外观和功能都受到了极大的影响。

为了保住左手功能,患者慕名来到积水潭医院手外科就诊。陈山林主任检查后发现,他的左手第一系列缺失,若采用传统踇甲瓣结合髂骨移植等办法进行拇指再造,不仅重建的掌骨有被吸收掉的风险,而且患者无法获得有功能的腕掌关节,然而稳定且可活动的腕掌关节恰恰在发挥拇指功能中是最为重要的一环。考虑患者左手仍保留完整的大多角骨,陈山林团队决定为患者定制化制作金属3D打印的第一掌骨,满足患者第一腕掌关节的解剖学重建,为患者的拇指再造提供了一个良好的骨性基础。经文献检索,该技术属于世界首创!

杨辰医生早上七点就赶到病房,将手术组反复酝酿后的手术切口做好标记
掌骨重建对于患者的拇指再造仅仅是攻克了第一道难关。由于患者拇指反复多次手术,术区皮肤缺损,瘢痕严重,在解决了骨性问题后,下一步的难点则是继续设计皮瓣,解决其皮肤覆盖的难题。对于再造拇指,除了需要进行踇甲瓣游离移植重建拇指指甲,还需要较大面积的足背游离皮瓣进行掌骨处的皮肤覆盖,并同时采用共蒂的第二足趾趾骨游离移植,重建拇指指骨部分。而足部的供区则采用游离腹股沟皮瓣及髂骨进行覆盖,不仅可以保留5个脚趾,而且避免了传统植皮手术给患者带来的不适,同时使供区更加美观。
陈山林主任团队术前详细规划,反复推演手术流程,3月5日,在陈山林主任、薛云皓副主任医师、杨辰主治医师、刘畅住院总医师的共同协作下,顺利完成了假体置入,腕掌关节韧带重建,游离穿支嵌合皮瓣移植等复杂精细手术。手术过程非常顺利,术中影像显示,假体位置满意,腕掌关节稳定且具备一定的活动度。再造拇指外观满意,长度合适,各皮瓣存活良好。足部供区外观良好。“手术能够顺利完成,要特别感谢医务部、疾控/院感处、手术室、麻醉科等各个部门对手外科开展新技术给予的全力支持和政策保障。”陈山林主任说。

对于外伤后拇指缺损的患者来说,重建拇指是非常有必要的,拇指功能对于手功能的完成非常重要。常规的拇指再造包括第二足趾游离移植,或是通过髂骨移植重建掌、指骨,再通过踇甲瓣重建拇指指甲和皮肤。也有改良的方式通过踇甲瓣嵌套第二足趾趾骨重建拇指。但不论哪种重建方式,都无法使患者获得具有活动的腕掌关节。而通过定制化的假体制作,即使形状不规则的腕掌关节,也可以达到完美的解剖学重建,使其获得活动。
作为假体研发的主要成员之一,刘畅医生介绍,“每一个疑难病人都是一个临床课题,这次假体设计是我们经过仔细查体,反复思考并结合各类经验才创新设计的。通过定制化患者第一掌骨,完成腕掌关节的解剖学重建。3D打印技术已经成为我科常规化治疗手段之一,将来可为更多的患者服务。”

薛云皓副主任医师带领杨辰、刘畅和进修医生周志成分别完成手和足部的血管吻合
手指再造手术需要专科医师娴熟的显微操作技术和充分的个体化术前设计,才能在外观上尽善尽美。陈山林主任说:“中国的手外科一直享誉世界,特别是在显微修复重建领域,已经积攒了大量的临床经验,取得了很多辉煌的成绩。但我们不能因此裹步不前。为了给患者提供更好的重建方案,不仅需要灵活运用经典的游离皮瓣技术,更需要结合高新技术,不断创新,为患者提供更为完美的重建方案,使显微重建从能用迈向好用好看的台阶。”
文丨手外科 刘畅
图丨手外科 宣教中心



