医疗服务
长了50年的“香蕉手指”,终于切开了......
芳姨刚出生时,就被家人发现右手拇指和食指比正常要大。随着时间的推移,在手指变大的同时,偏斜也越来越严重,慢慢地,方姨的拇指和食指都不能活动了,其它三个指头的功能也受到了限制。

随着年龄的增长,指头的状况越来越差,在四处寻医之后,芳姨被确诊为“巨指症”“平时在生活中,我都不敢把手伸出来,太丑了,我怕别人会歧视我......”这个确诊,不只带来了身体上的不适,而且在芳姨的心里埋下了“自卑”的种子。50多年了,想拥有一只正常的手就像是一个遥不可及的梦想,一直深深藏在芳姨的心里。

终于,梦想要实现了!栗鹏程主任用手术刀为芳姨卸下了心里的大包袱。本次为芳姨主刀的是北京积水潭医院手外科副主任医师、中山积水潭骨科医院医疗总监、手外科主任栗鹏程。
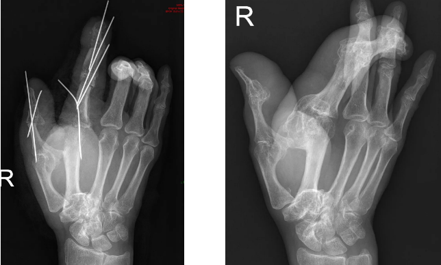
“芳姨得的是巨指症,50多年来,畸形逐渐加重,尤其是食指极度地尺偏,给患者的手的外观、功能都带来了很大的影响。”栗主任道。
经过两个小时如绣花般的减容矫形手术,芳姨右手的食指和拇指外观接近正常,预期后期手部的功能也会得到很大改善。


“半辈子的心结终于打开了,在人前再也不用躲躲藏藏了,这种日子终于结束了!”芳姨拉着医生的手,忍不住泪流满面。
栗主任告诉我们,巨指症就是手指变得巨大。分为两种类型,一是静止型,不再随儿童的发育而进展;二是进展型,与正常发育不成比例的增大。进展型在婴儿期可能没有增粗,但在幼年开始迅速发展,此型常伴有成角畸形,使手看起来跟香蕉一样,使指成“香蕉型”。

如何治疗?
早期巨指症可采取减脂手术、神经处理手术进行治疗,成年人的巨指症主要进行矫形,手部对功能及手指数量要求较高,一般不进行巨指切除手术。足部巨趾早期也是进行减脂手术、神经处理手术进行治疗,术后要对巨趾发育状况进行系统追踪观察。若巨趾发育迅速,需在患儿某年龄段时进行骨骺阻滞治疗。对于发育较快且无功能留存的巨趾,可将整个巨趾进行切除。
巨指(趾)症要及时及早就医,让医生进行专业评价,及时治疗,才能避免大的畸形的出现,尽早挽救手足的功能。
病例展示一:10月大的男孩,先天性右足巨趾

术前术后即刻大体

术前术后即刻X片
病例展示二:9岁男孩,先天性双足巨趾

外院术后2年复发,双足太大,无法正常穿鞋,来我院就诊


术前与术后3月大体照对比,家属对效果满意
图文:骨科高兴帅
审核:栗鹏程
文章来源:中山积水潭骨科医院
